歯並びを改善する矯正治療には、さまざまな方法があります。中でも、目立たずに歯並びを改善したいという方におすすめなのが、マウスピース矯正です。マウスピース矯正は、従来のワイヤー矯正と異なり、透明で取り外し可能なマウスピースを使用します。
そのため、周囲にほとんど気づかれることなく、歯並びを整えることができます。マウスピース矯正のメリット・デメリット、治療にかかるお値段などのよくある質問もご紹介します。

マウスピース矯正とは、透明なマウスピースを使って、歯並びを改善する矯正治療のことです。患者さまに合わせて製作されたマウスピースを7~10日ごとに取り替えることで、少しずつ歯を動かして歯並びを改善します。
ワイヤー矯正と異なり、いつでも取り外しができるため、食事や歯みがきは通常通り行えます。口腔内を清潔に保てるので、むし歯や歯周病になるリスクも抑えることが可能です。他の矯正方法に比べ、リーズナブルな金額で治療できるのもメリットです。

マウスピース矯正は、次のような方におすすめです。

当院では、3D光学スキャナー「口腔内スキャナーiTero®」を使用してマウスピース矯正の型取りを実施しております。患者さまのお口の中を小型のカメラでスキャンし、コンピュータで取り込むことにより、患者さま一人ひとりに合わせた精度の高い歯型を得ることができます。また、カメラでスキャンするだけで簡単に型取りができるため、時間もかからず、患者さまの負担も少なくなっています。
当院のマウスピース矯正は、世界中の歯科医院で導入されており高い信頼と実績のある「インビザライン」を採用しています。インビザラインは症例の適応範囲も広く、多くの症例に対応可能です。透明なプラスチック製のマウスピースは厚さも約0.5mmと薄く、装着時の違和感や不快感も少なくなっています。違和感や不快感に耐えられず、途中で矯正をやめるなどの失敗例も少ない方法です。インビザラインでは、子どもの矯正治療や出っ歯などの不正咬合といった症例でも、できる限り最適な治療プランをご提案します。経験豊富な専門医が患者さまの歯並びや生活スタイルを診察・お伺いしますので、お気軽にご相談ください。
インビザラインでは、治療前の歯や歯並びのデータをもとに、パソコンで事前に歯の動きをシミュレーションすることができます。そのため、患者さまにも矯正治療の流れや最終的な歯並びの仕上がりをイメージしていただくことができ、失敗のリスクを回避できるほか、治療に対する安心感も高まります。
マウスピース矯正治療には、以下のようなメリットがあります。
プラスチック製の透明なマウスピースを使用するため、外から見て矯正治療をしていることが目立ちにくいです。人前に出るお仕事をしている方や、部活動などをしている子どもに矯正治療をさせたい方にもおすすめです。
マウスピースは、ご自身でいつでも取り外していただける装置です。そのため、日々のブラッシングやデンタルフロスも支障なく行えます。矯正装置によるケアの失敗を懸念されている方におすすめです。
「マウスピース矯正もワイヤー矯正と同じでかなり痛いのでは?」といったご質問もよくいただきますが、他の矯正方法に比べて歯を動かすスピードがゆっくりなので、痛みも少なく済みます。
マウスピースは取り外し可能な装置のため、症状の程度にもよりますが、他の治療と並行しながら矯正ができます。治療期間をできるだけ短縮したい方におすすめです。
マウスピース矯正治療のデメリットには、以下のようなものがあります。
出っ歯などの不正咬合が重度である場合、マウスピース矯正が適応にならないことがあります。その際は、他の矯正方法をご案内いたします。
マウスピースは、1日約20時間の装着時間かつ食事と歯磨きの際は取り外す必要があります。装着時は水以外の飲食ができないため、おやつやジュースをよく飲む子どもへの矯正には向かない可能性がございます。
マウスピースを取り外したら、流水でよく洗い、柔らかい歯ブラシで優しくブラッシングをしてください。週1ペースで専用の洗浄剤を使ってケアをするなどの手間もあるため、忙しい方にはおすすめできない治療法の可能性があります。
| 矯正方法 | 特徴 | 見た目・審美性 | 治療期間 | 費用の目安(税込) | 適応症例 | メリット | デメリット |
|---|---|---|---|---|---|---|---|
| 表側矯正 | 歯の表面(外側)に装置をつける最も一般的な方法。 | 金属が目立つが、審美ブラケットを選ぶと目立ちにくい | 約1.5〜3年 | 800,000円~1,010,000円(税込880,000円〜1,111,000円) | 軽度〜重度の症例まで対応 | 歯の動きが早く、確実 | 見た目の問題・装置の違和感 |
| 裏側矯正 | 歯の裏側(舌側)に装置をつける方法。見えにくい。 | 外から見えない | 約2〜3年 | 1,300,000円~1,510,000円(税込1,430,000円〜1,661,000円) | 中〜重度の症例にも対応可能 | 周囲に気づかれにくい | 発音がしにくい・費用が高い・清掃しにくい |
| 部分矯正 | 前歯など一部のみを動かす簡易的な矯正。 | 目立ちやすいが範囲が狭い | 約3〜12ヶ月 | 約15〜50万円 | 前歯の軽いデコボコや隙間 | 費用・期間が短い | 全体的な噛み合わせ改善は難しい |
| マウスピース矯正 | 透明のマウスピースを段階的に交換して歯を動かす方法。 | ほとんど目立たない | 約1〜3年 | 800,000円~1,010,000円(税込880,000円〜1,111,000円) | 軽度〜中等度の症例に適応 | 取り外し可能・見た目が自然 | 装着時間の自己管理が必要・複雑な症例には不向き |








| 年齢・性別 | – |
|---|---|
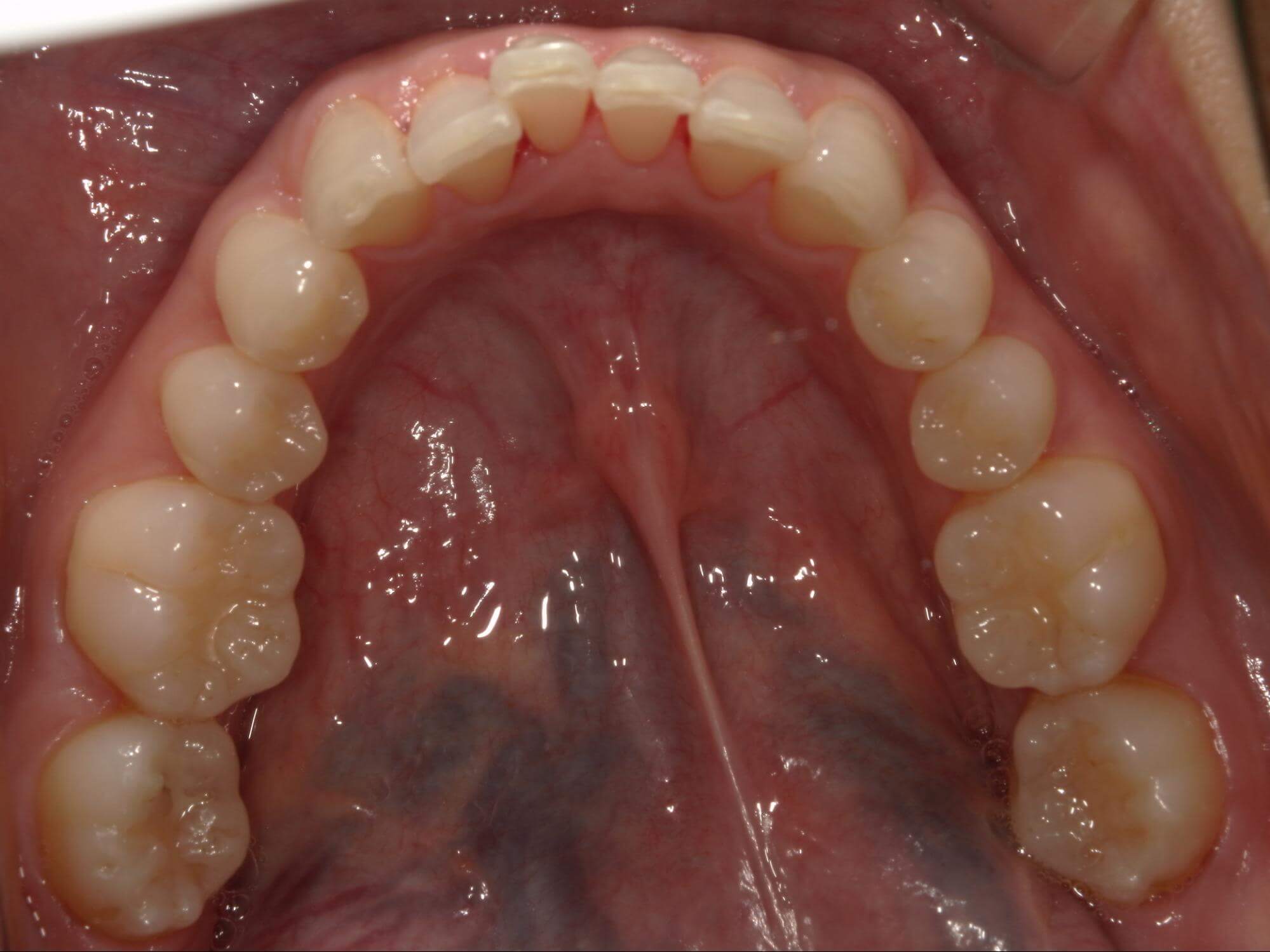
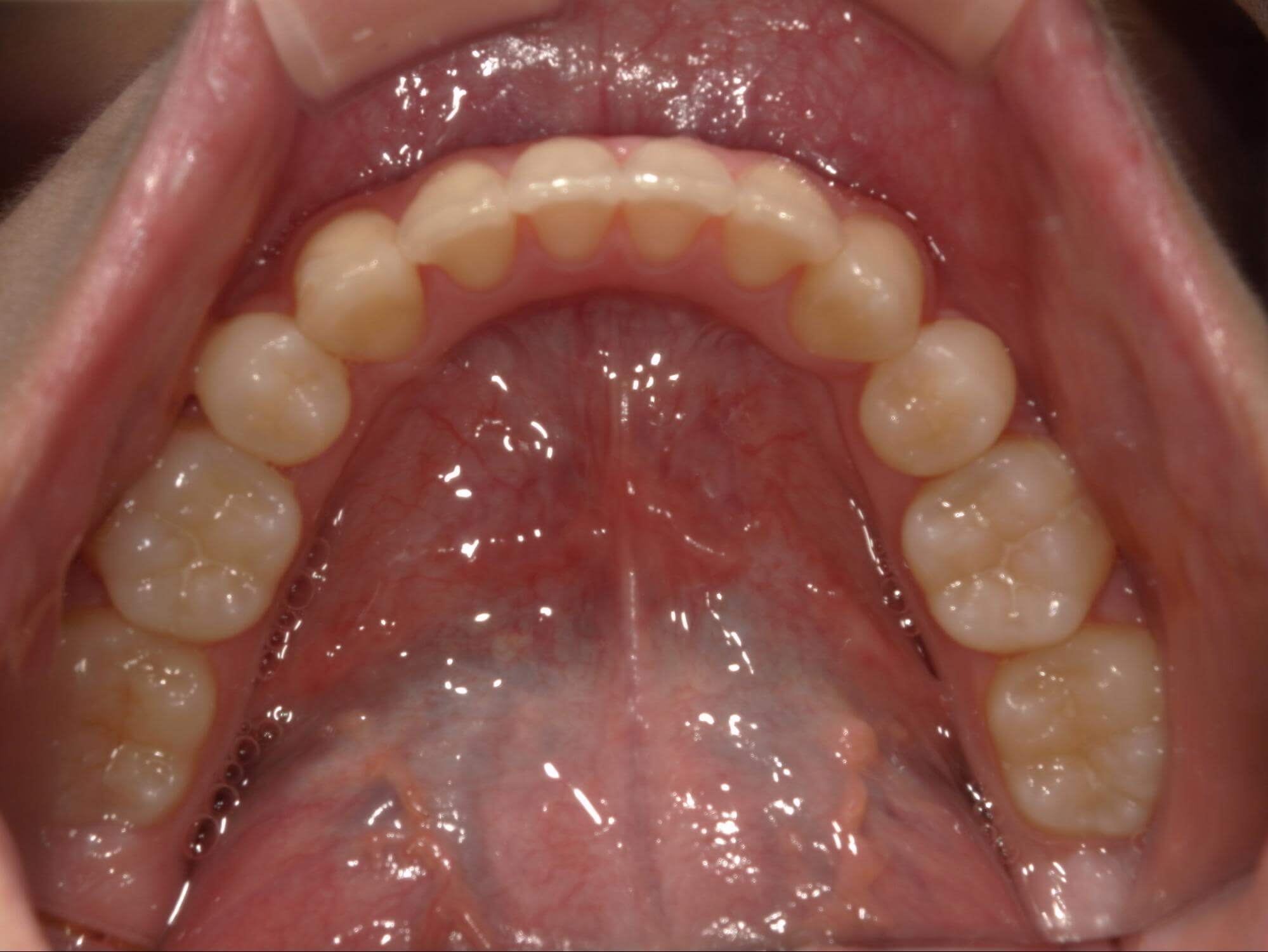
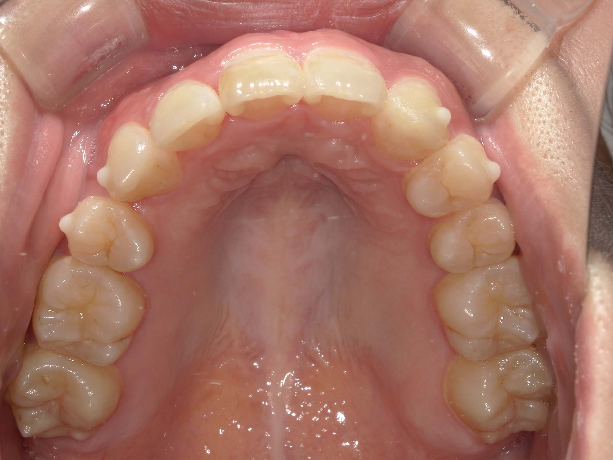
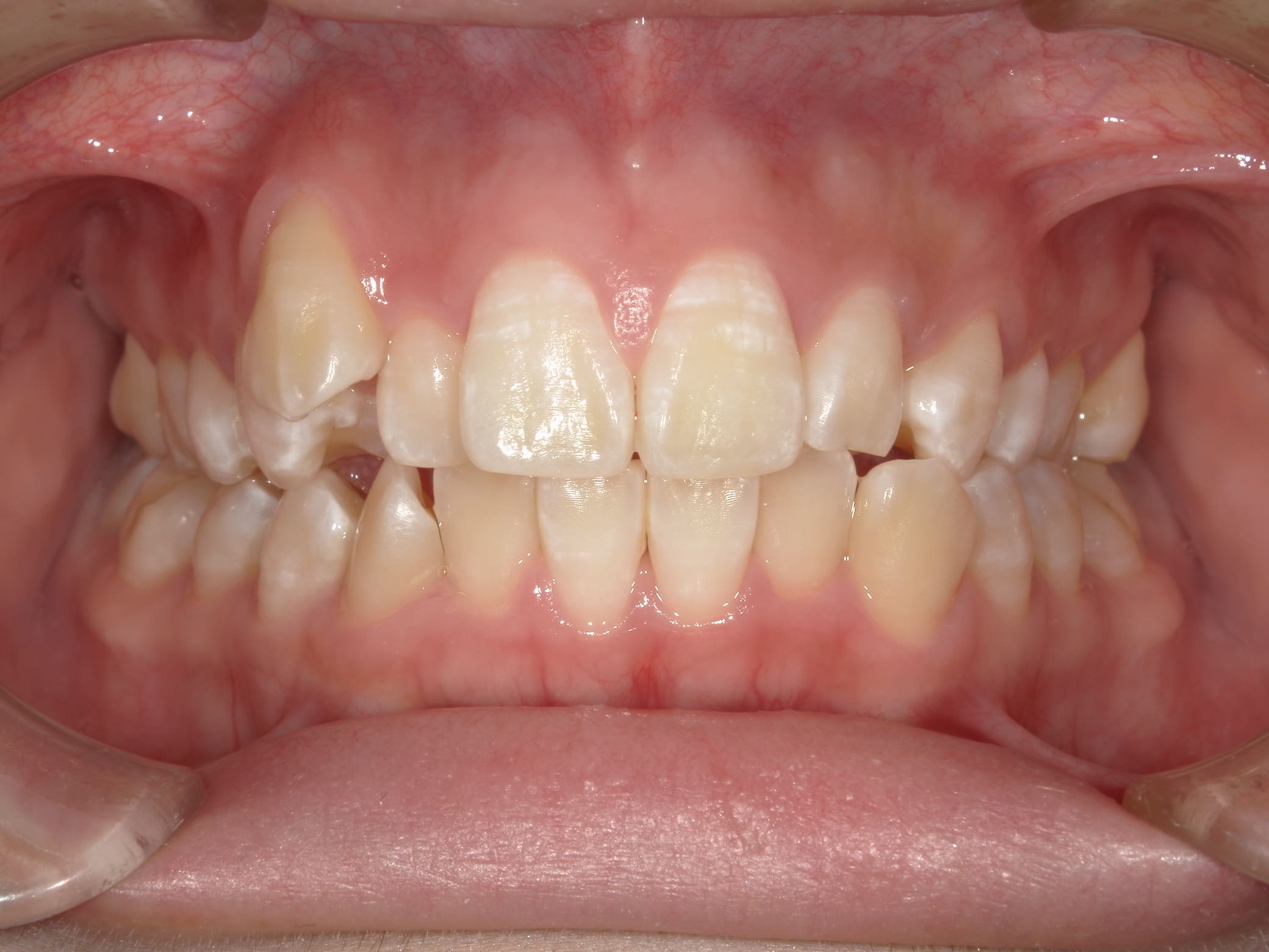
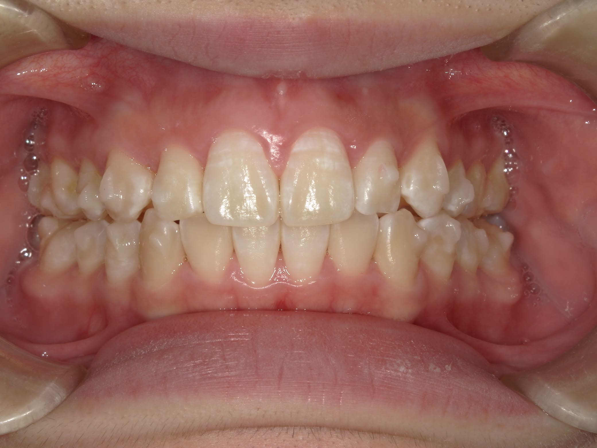
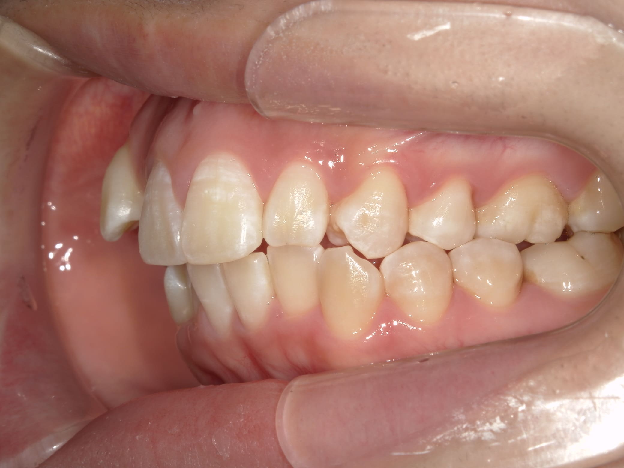
| 主訴 | 叢生が気になる |
| 治療期間・回数 | 1年 |
| 費用 | 935,000円 |





| 年齢・性別 | – |
|---|---|
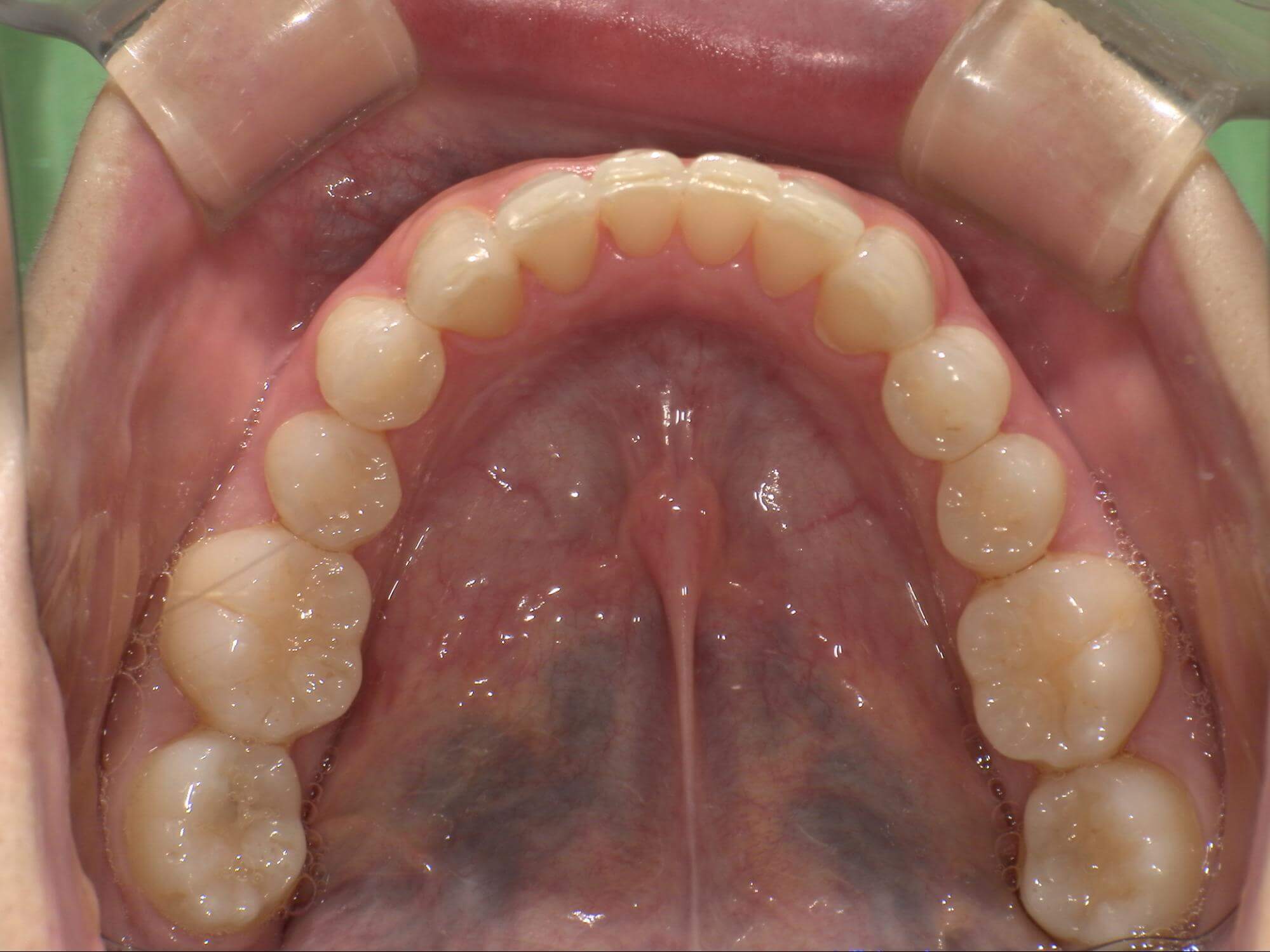
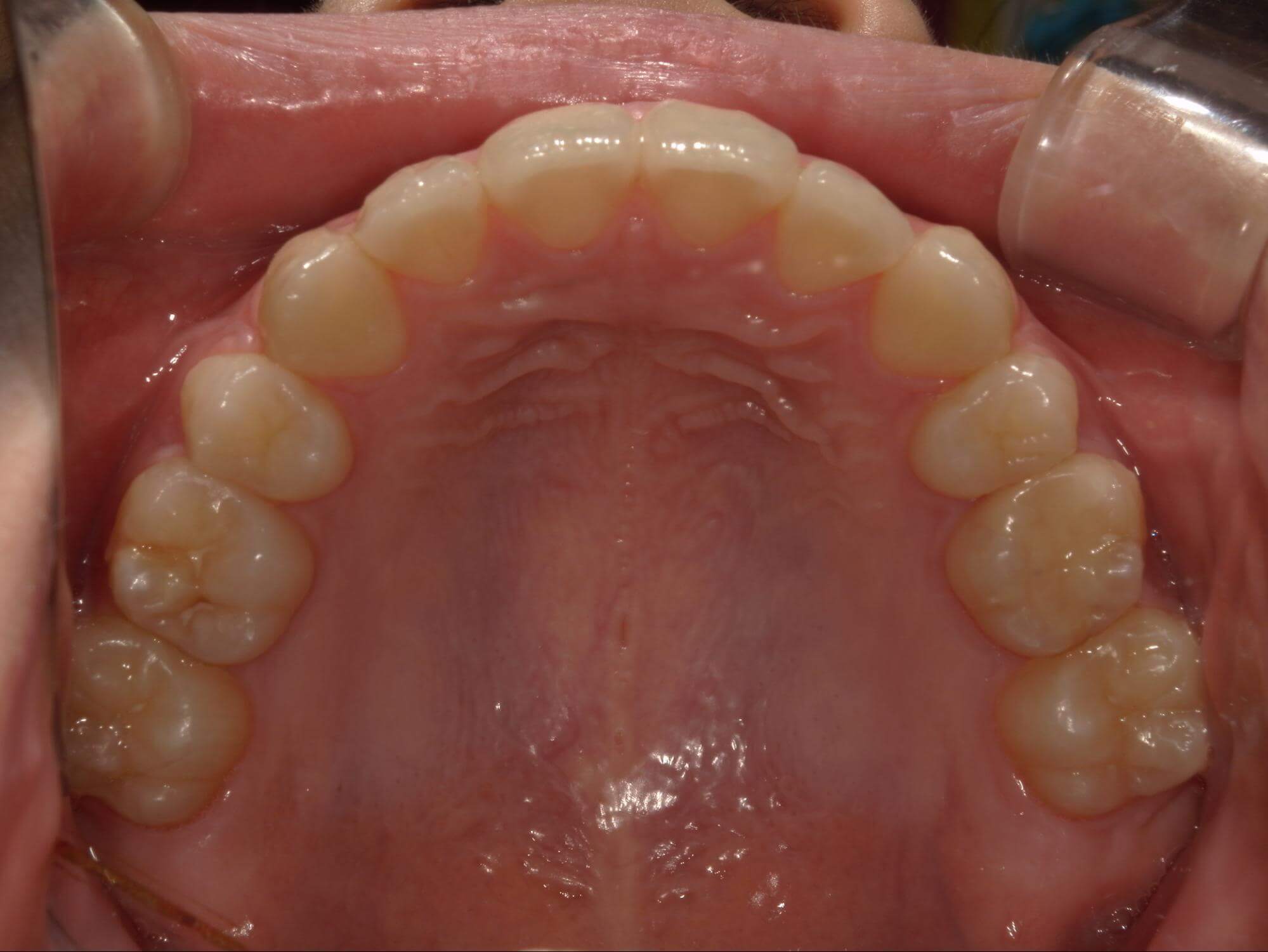
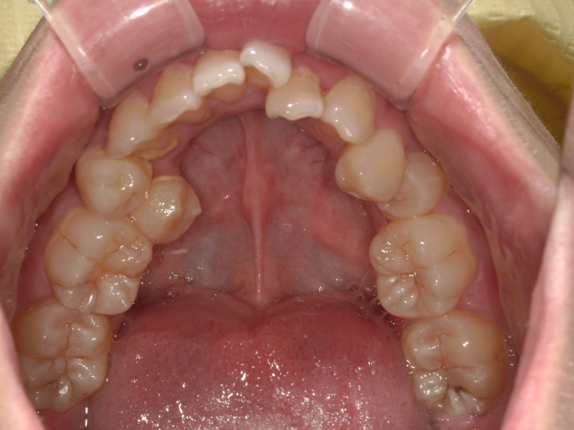
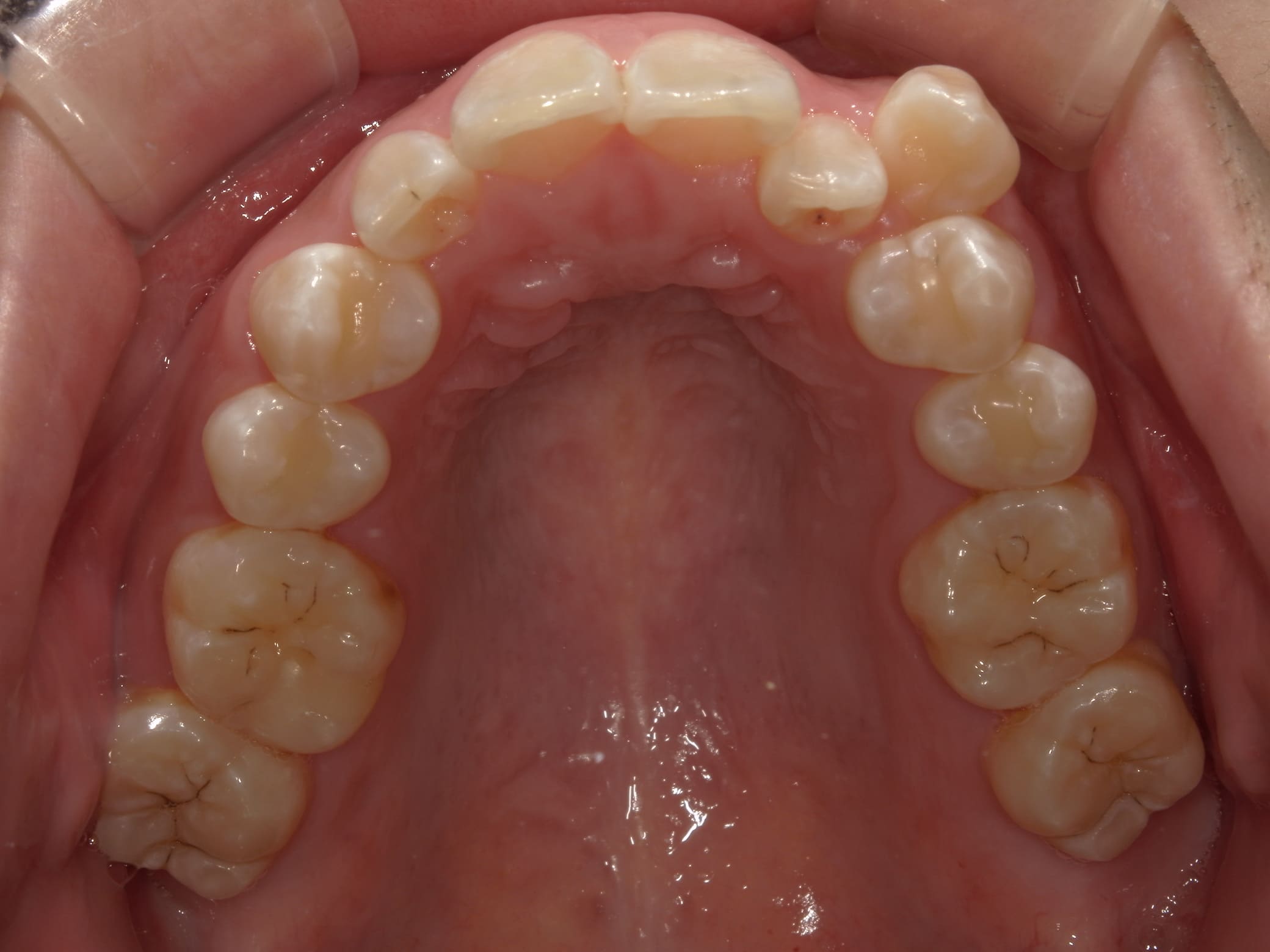
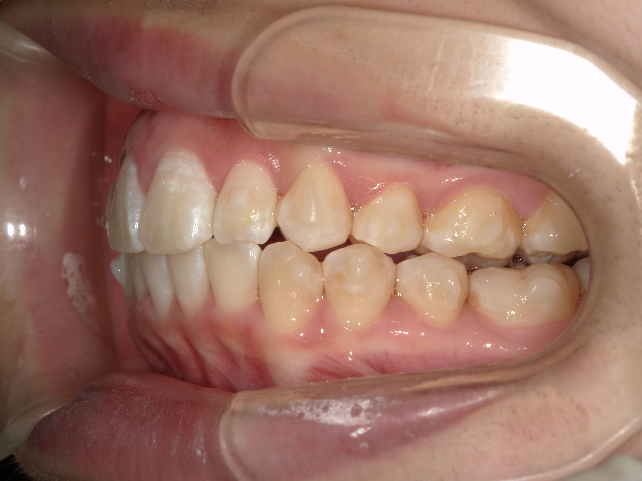
| 主訴 | 叢生が気になる |
| 治療期間・回数 | 2年 |
| 費用 | 935,000円 |








| 年齢・性別 | – |
|---|---|
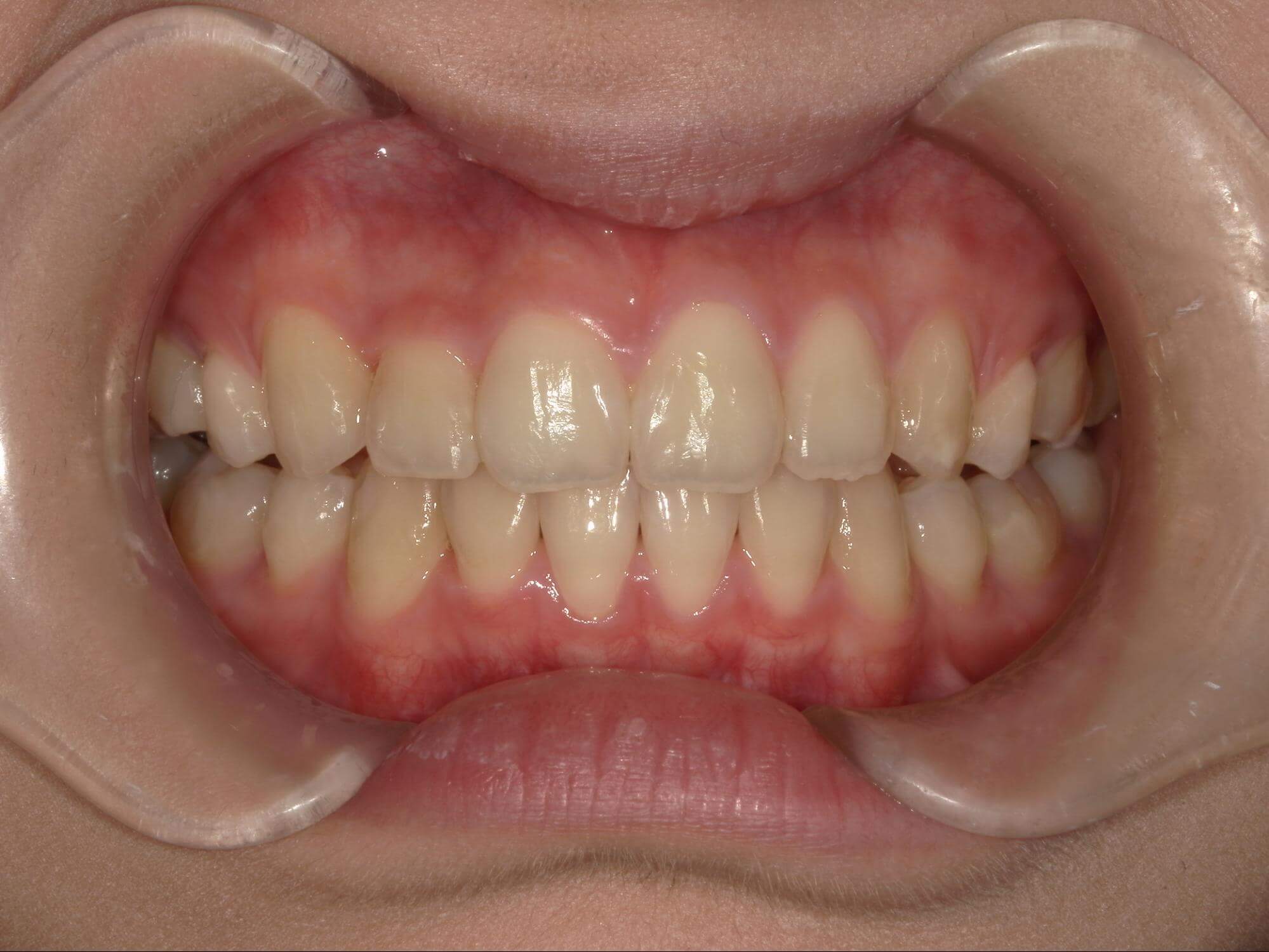
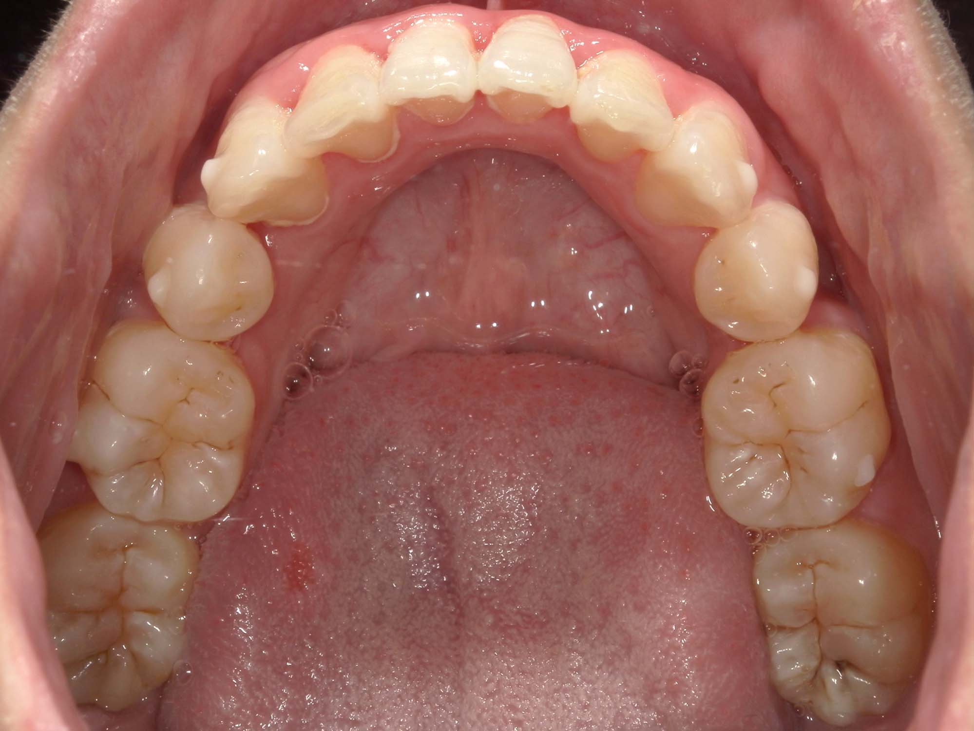
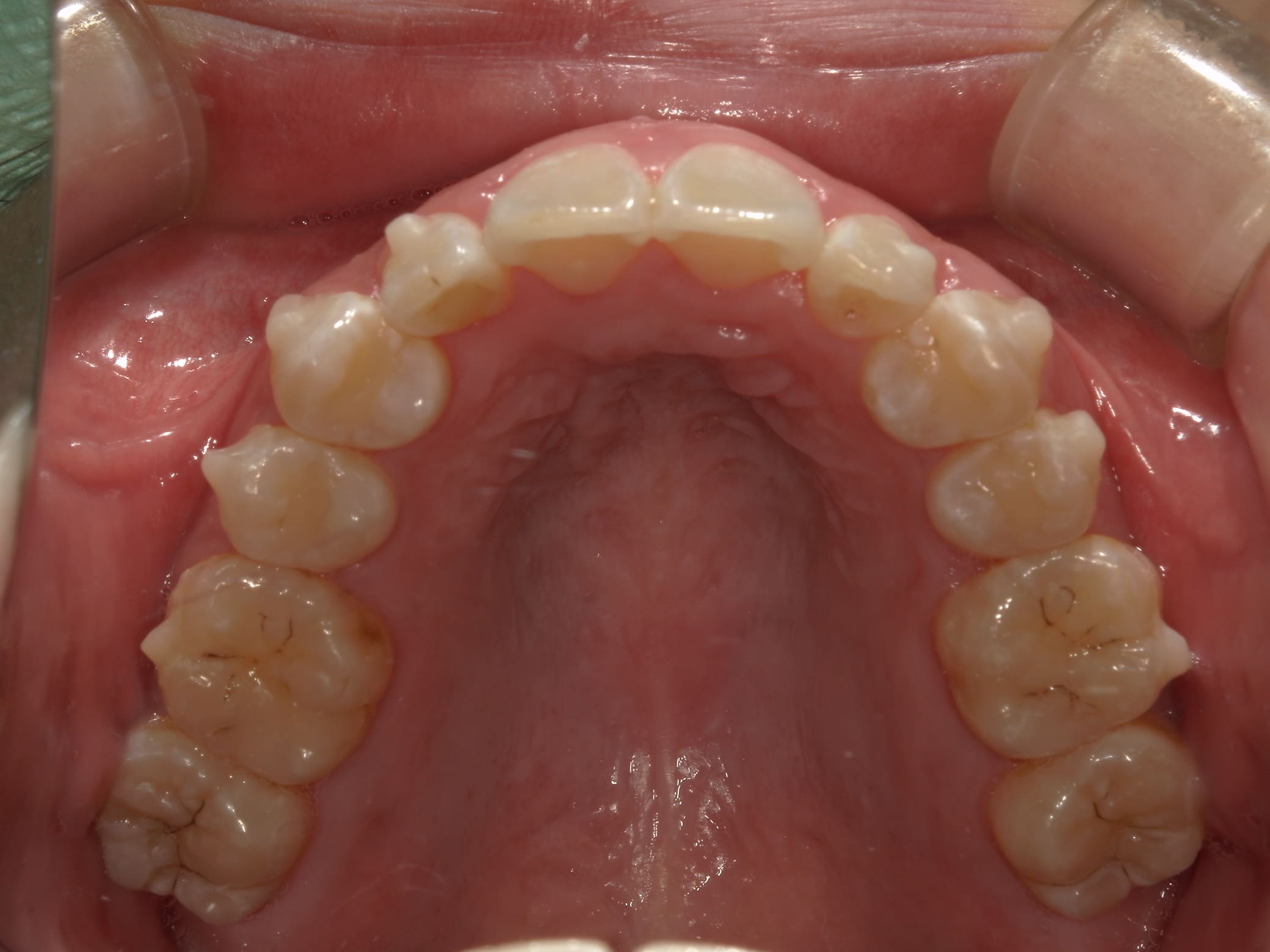
| 主訴 | 叢生が気になる |
| 治療期間・回数 | 1年9ヶ月 |
| 費用 | 1,011,000円 |















| 年齢・性別 | 21歳 |
|---|---|
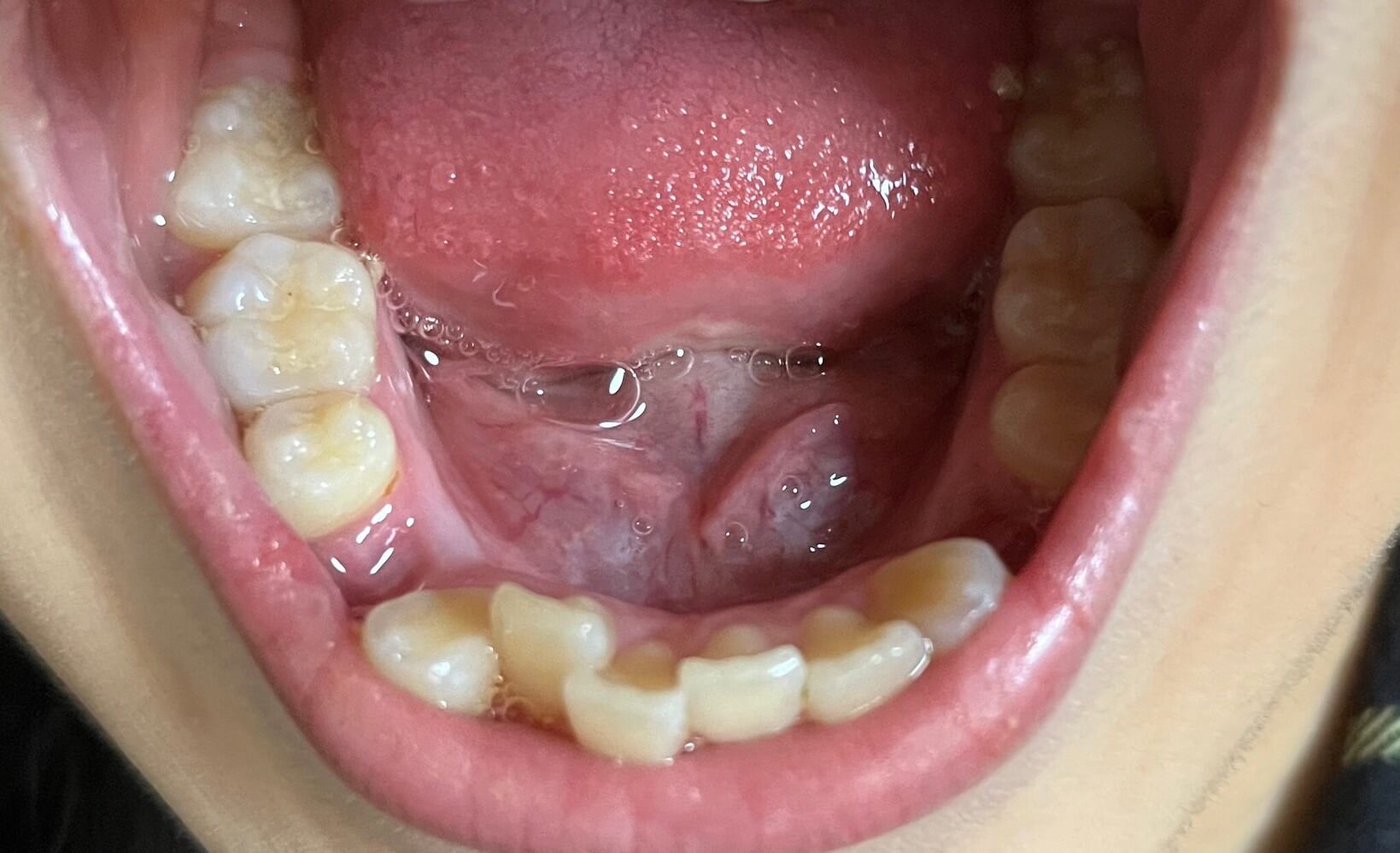
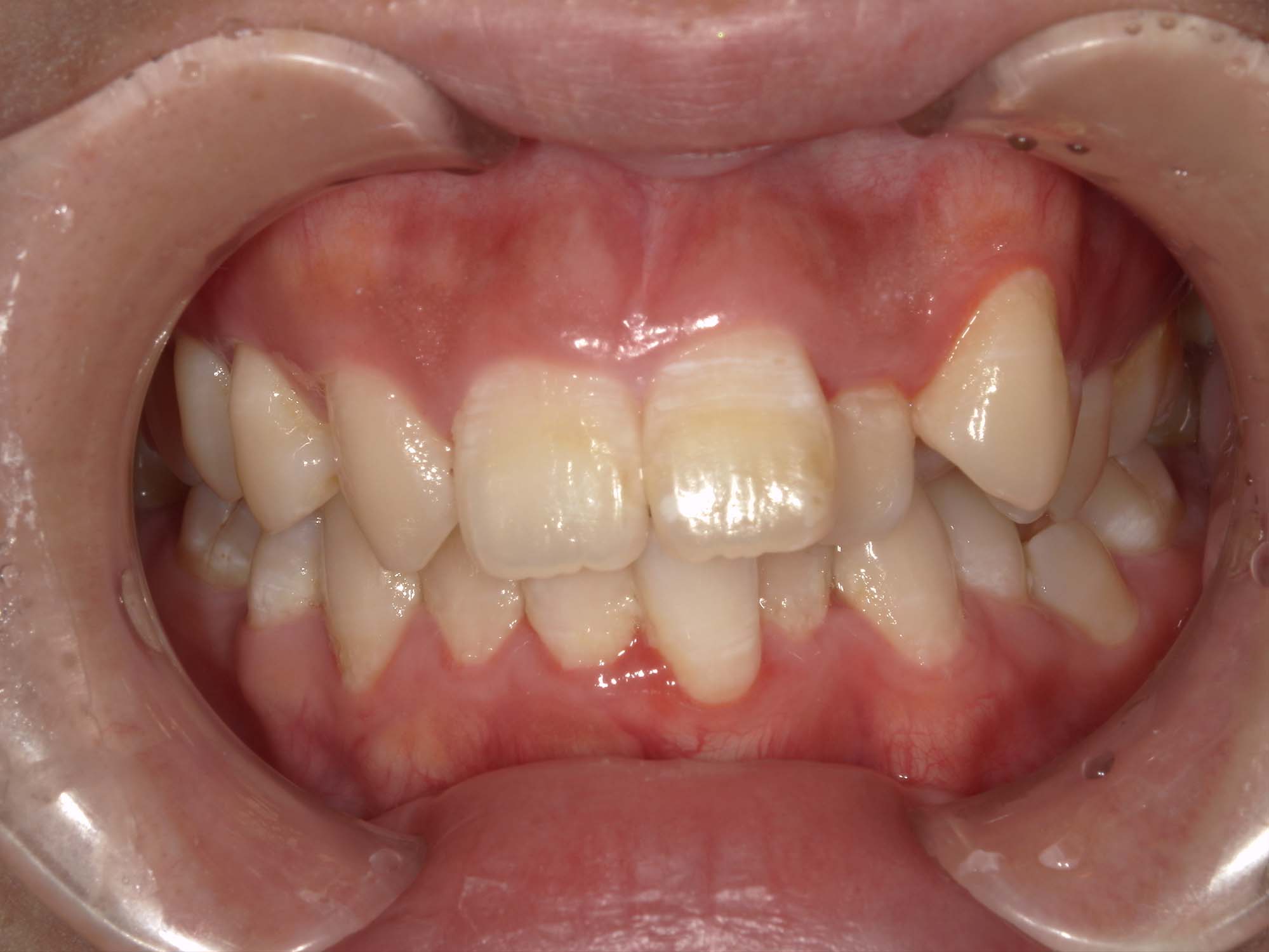
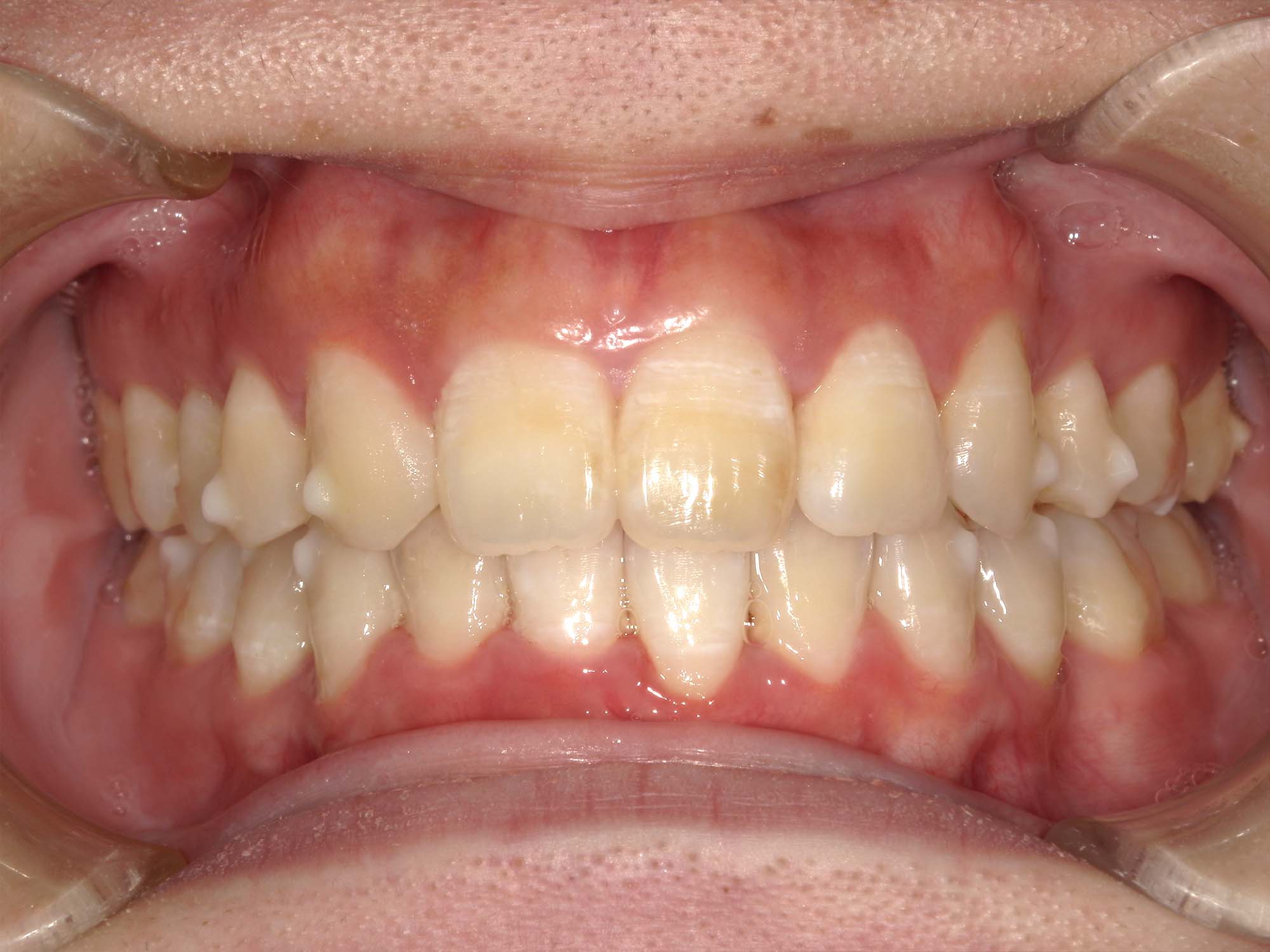
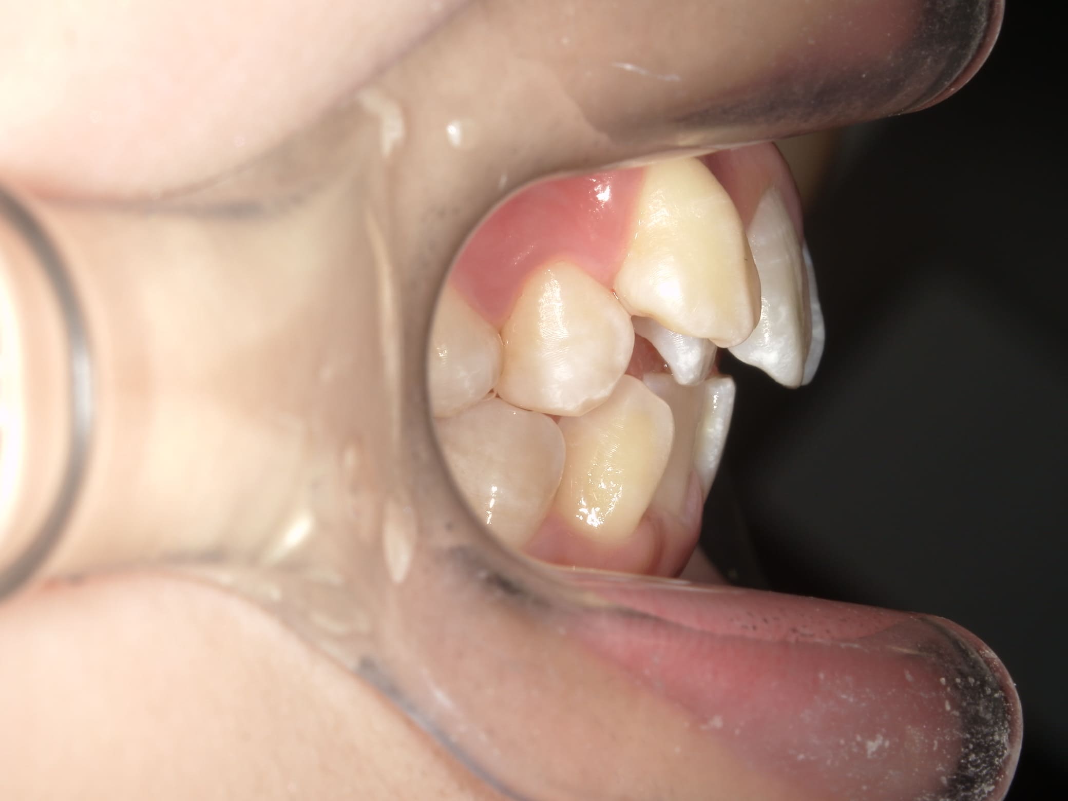
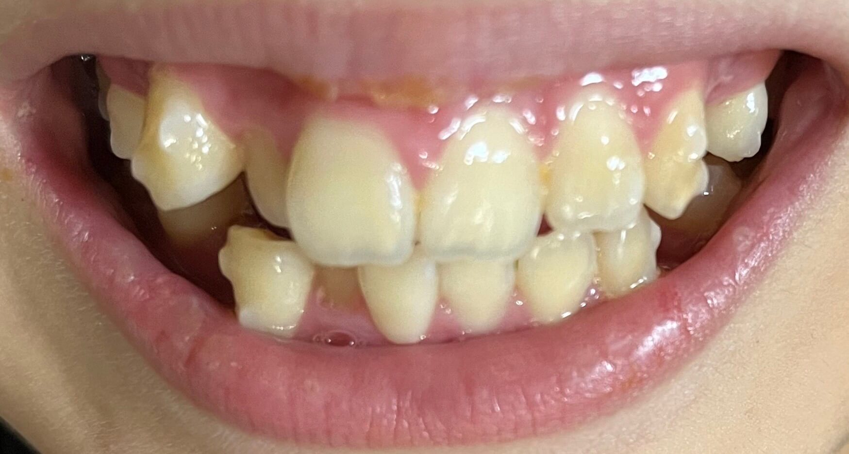
| 主訴 | 叢生が気になる・前歯に埋伏歯がある |
| 治療期間・回数 | 6ヶ月 |
| 費用 | 935,000円 |
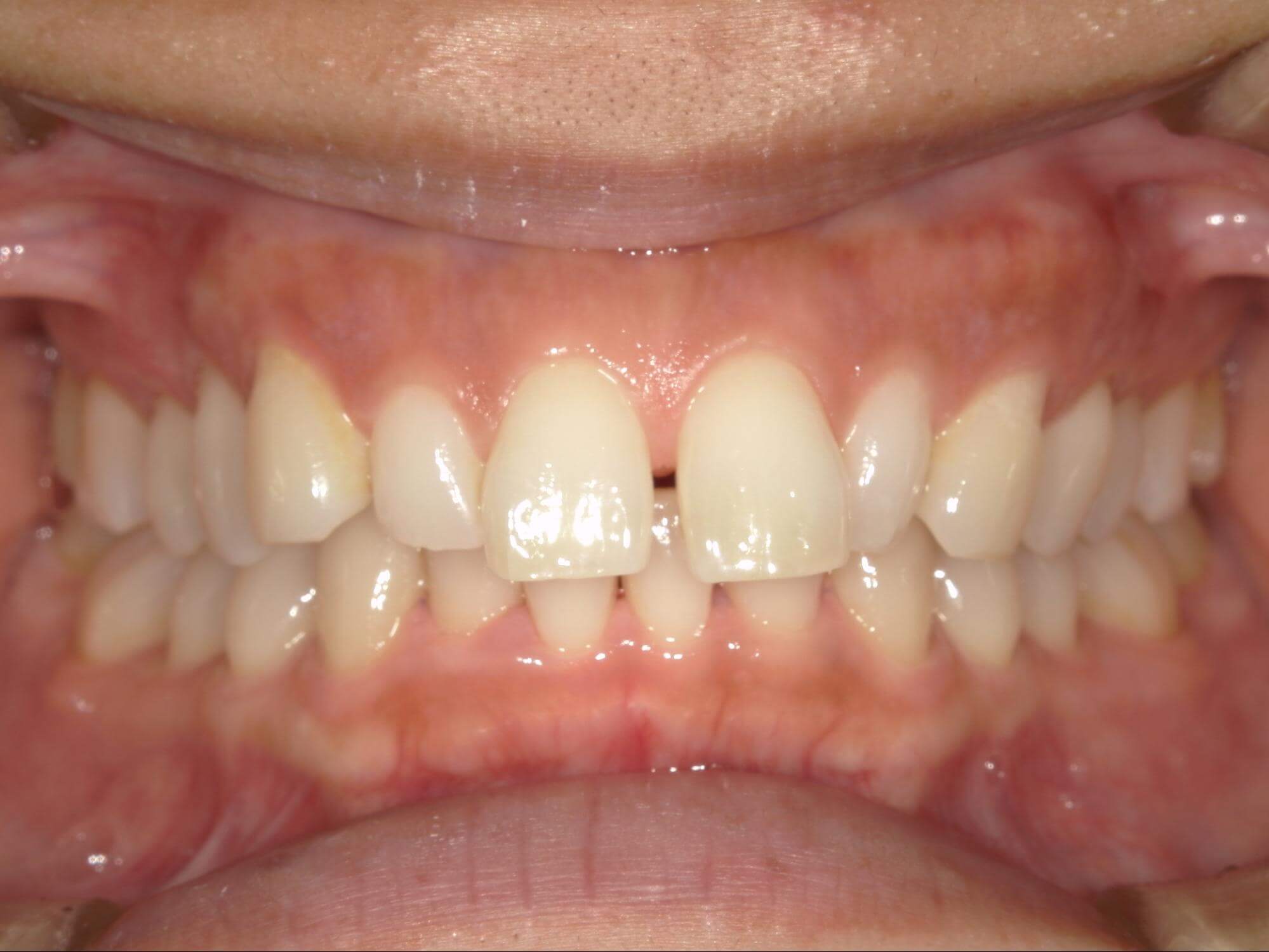
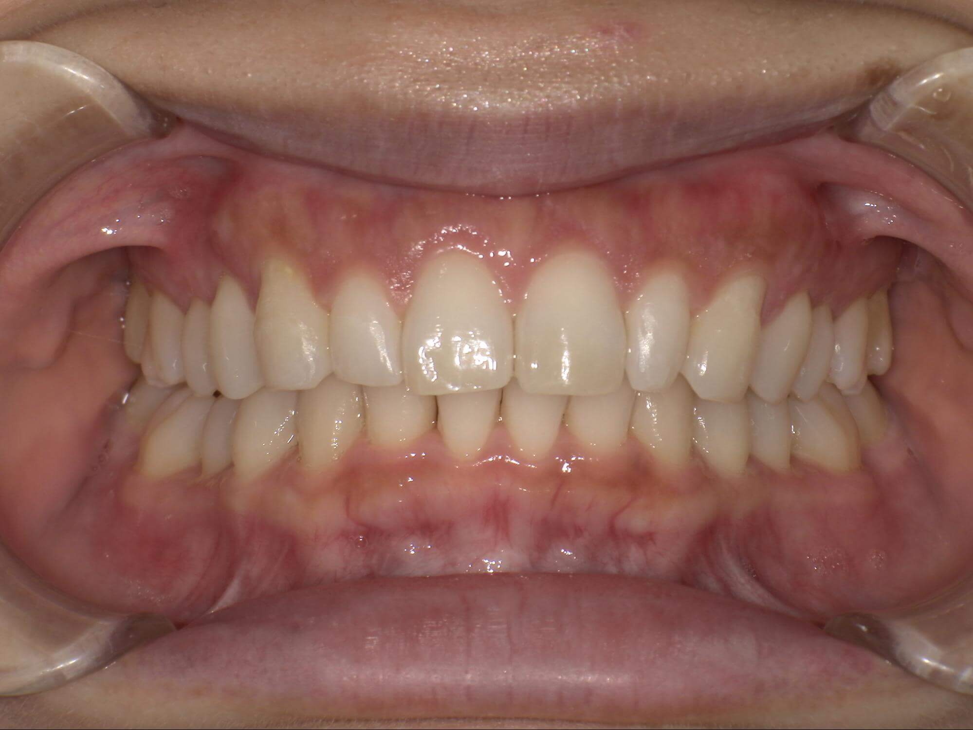
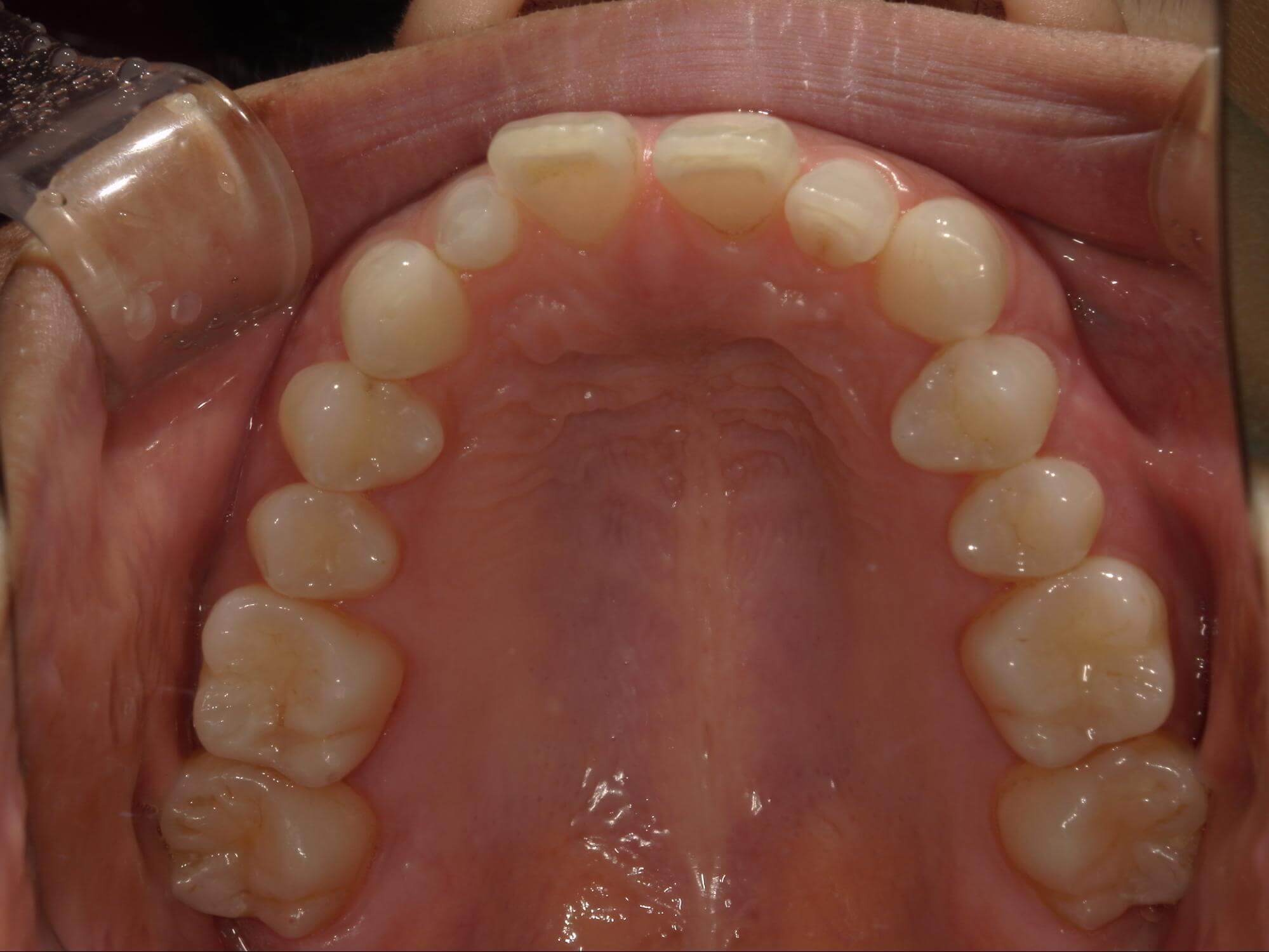
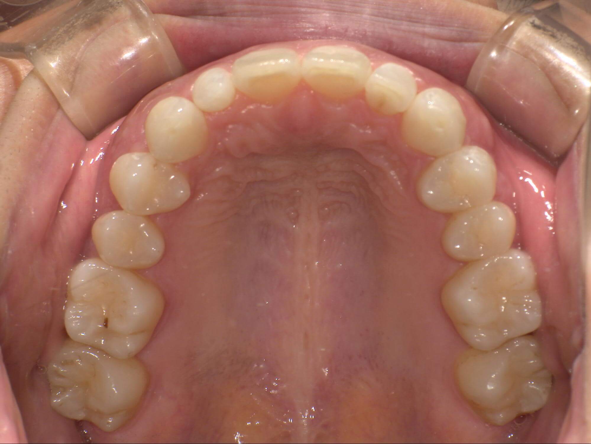
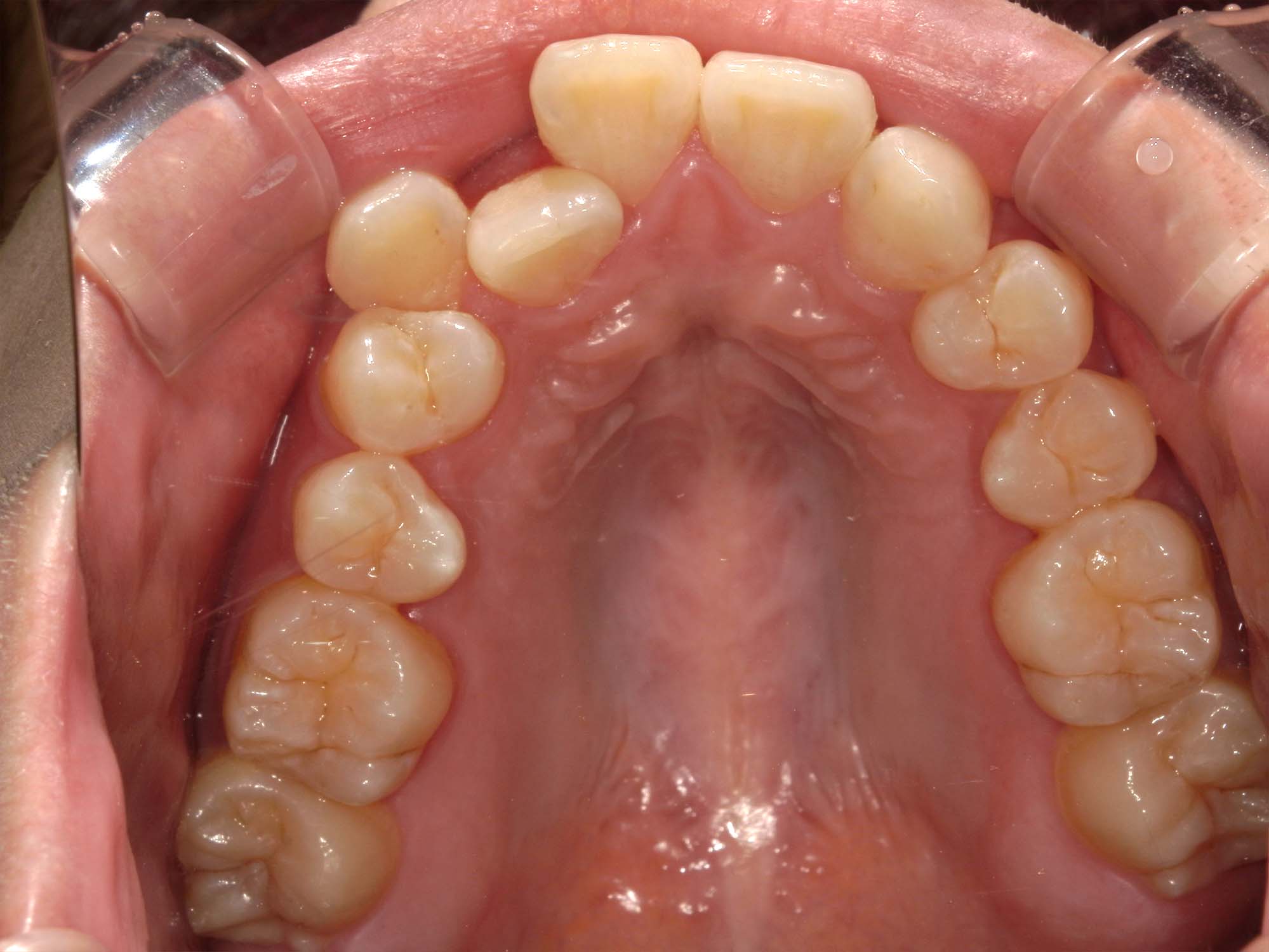
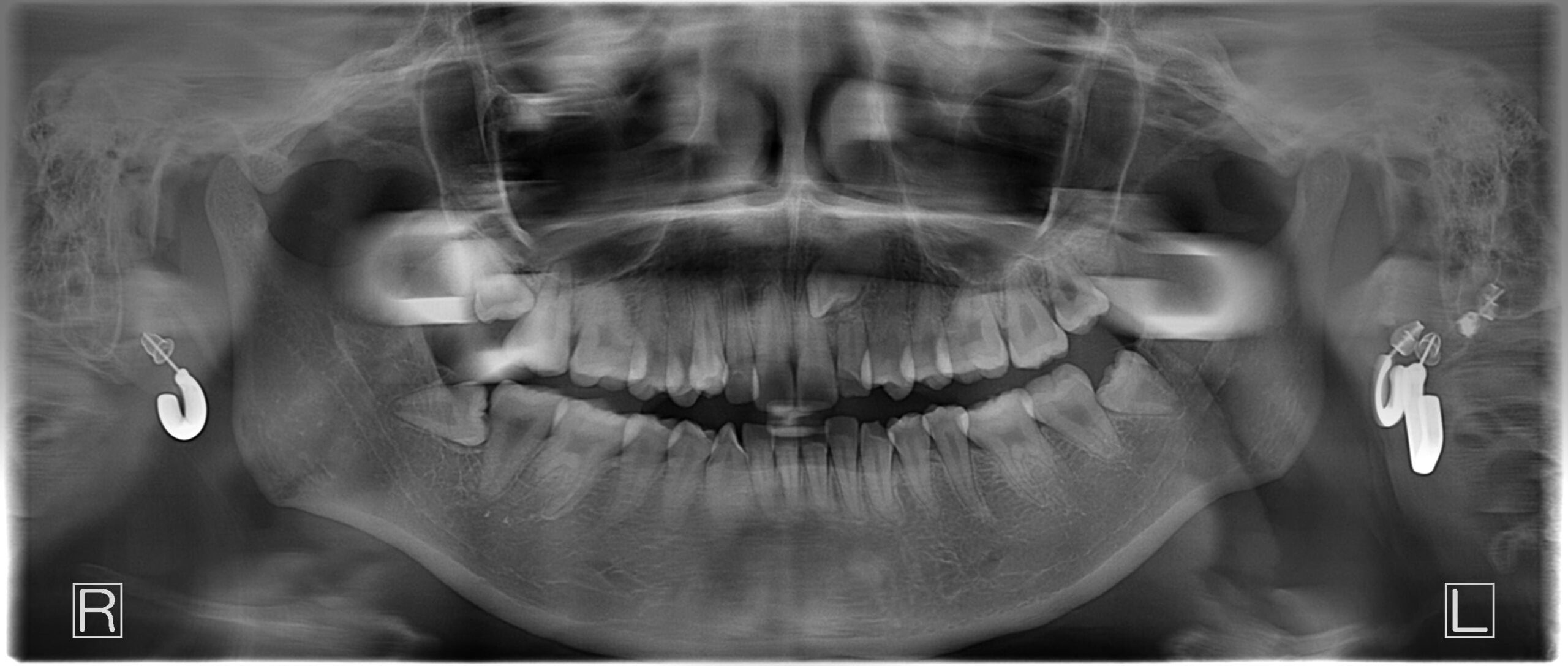
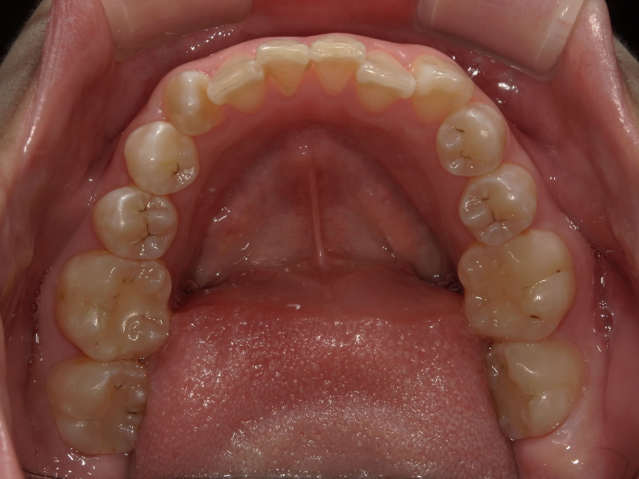
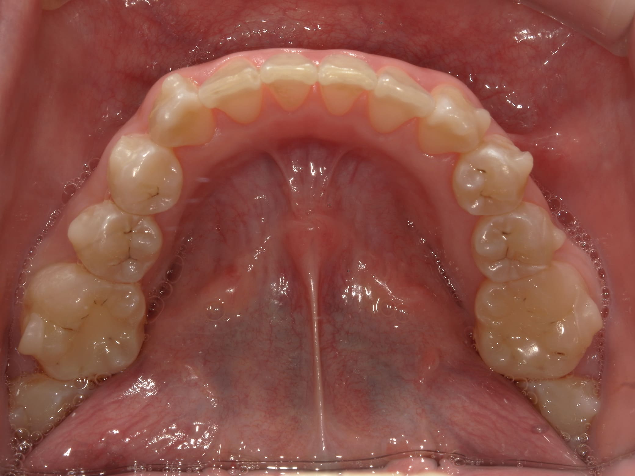
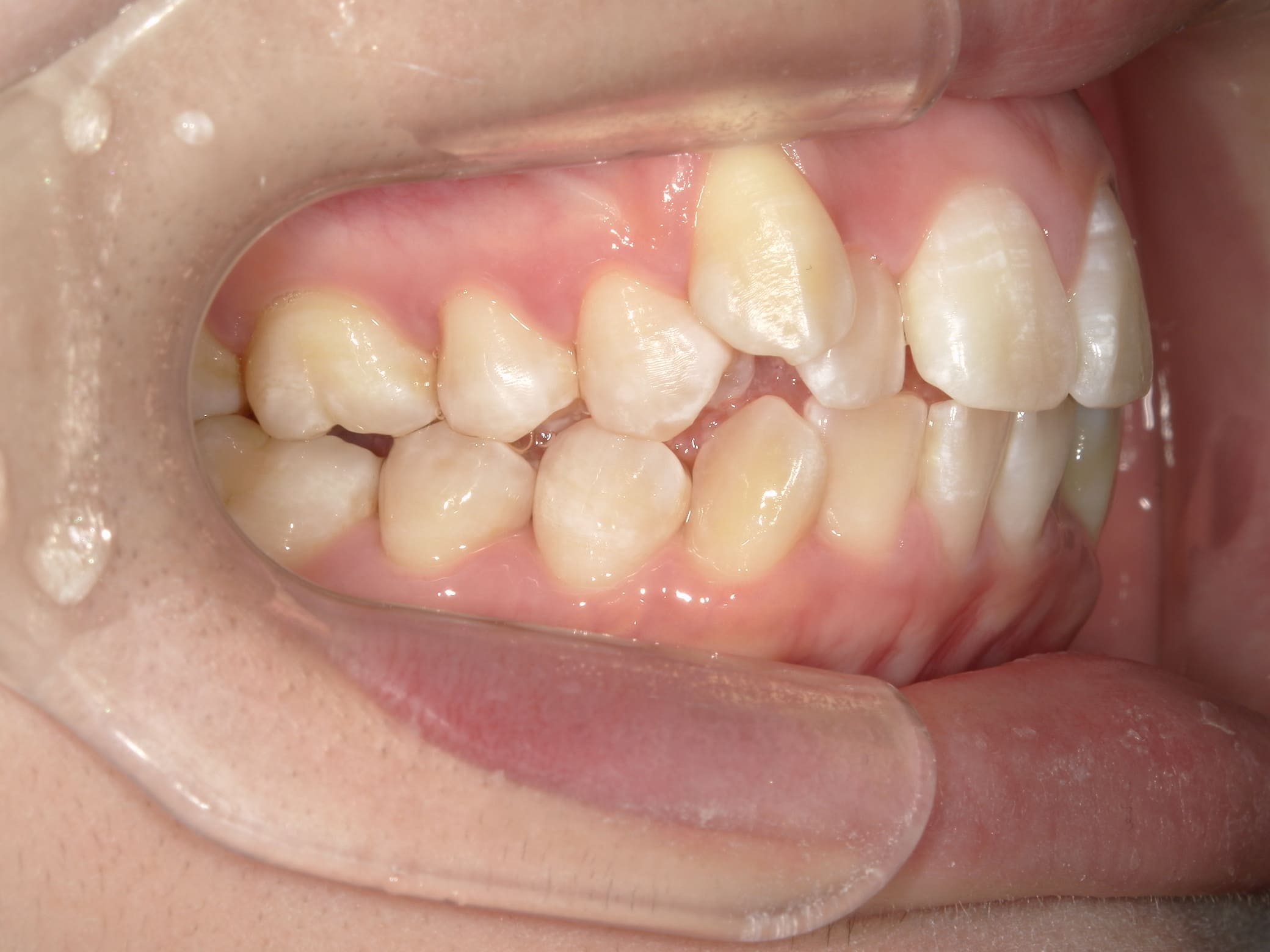
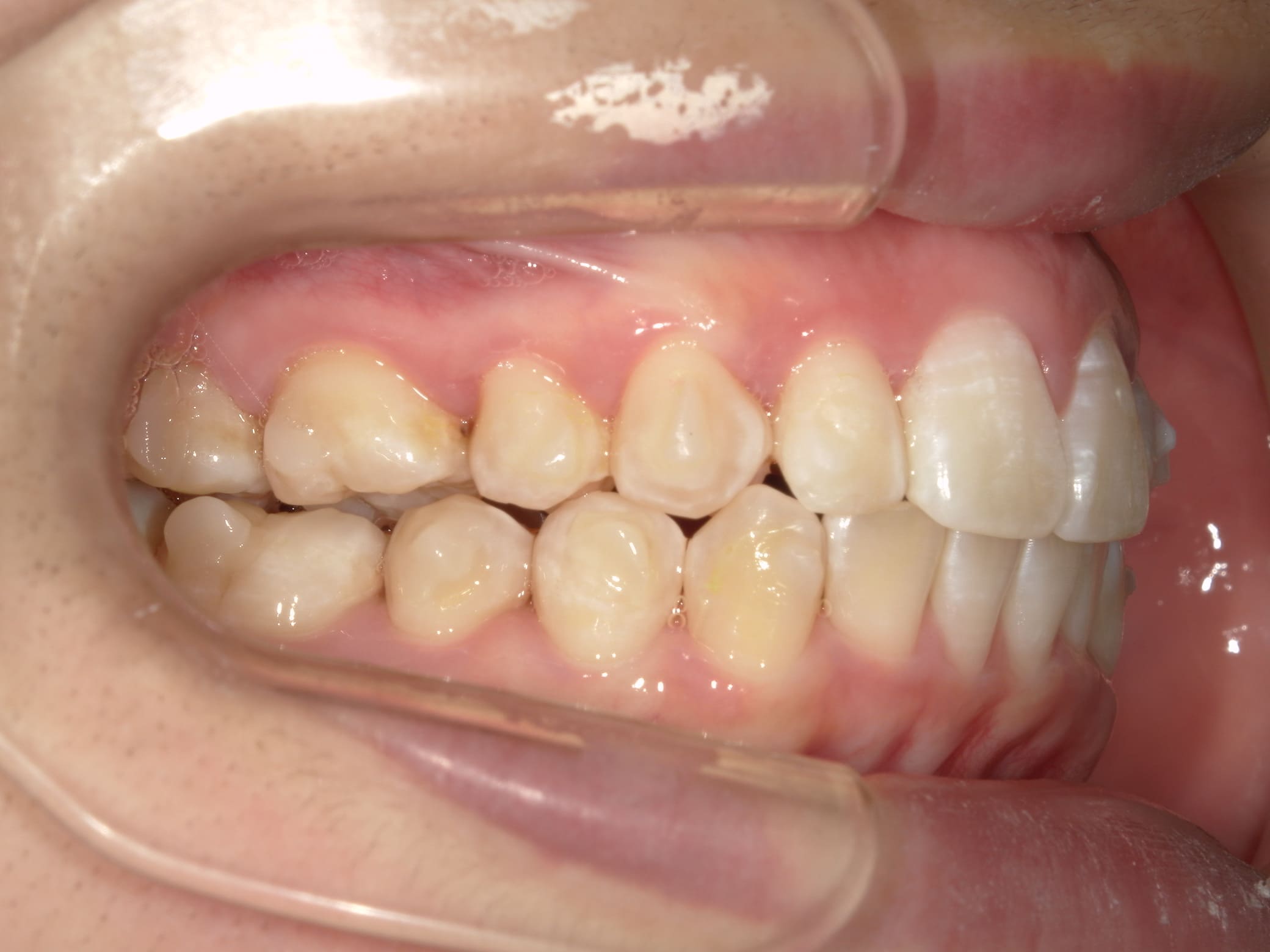
| 上顎の左側3番が埋伏していたため、上顎左右の3番および親知らずを抜歯し、矯正治療を行いました。 治療開始からおよそ6ヶ月で歯列が整い、審美的にも機能的にも良好な結果が得られた症例です。 |
|

まずは初診のカウンセリングで、患者さまの歯並びのお悩みやご希望などをおうかがいします。実際に歯並びや口腔内を確認し、患者さまに合わせた矯正治療を提案させていただきます。
レントゲン撮影、口腔内の写真撮影などにより、くわしくお口の状態を確認します。また、むし歯や歯周病など治療が必要な歯がないかの確認もさせていただきます。
D光学スキャナー「口腔内スキャナーiTero®」を用いて精密な歯型を取ります。また、検査結果とシミュレーションにより、詳細な治療計画を立てます。治療内容や治療期間、費用などについても詳しくご説明いたします。ご不明点などがございましたら、何でもお気軽にご相談ください。
3D光学スキャナーによって得られた歯型をもとに、患者さまお一人ひとりに合わせたマウスピースを作製します。マウスピースの付け替えのタイミング、取り外し方法やお手入れなどについてご説明します。矯正治療中は定期的にご来院いただき、歯の状態や口腔内の確認をします。むし歯や歯周病を予防するための適切なブラッシングの指導も行います。
矯正治療後は、整った歯並びが安定するまで「保定期間」が必要です。リテーナーとよばれる保定装置を装着することにより、移動した歯が元に戻るのを防ぎます。定期的にご来院いただき、歯のメンテナンスを行います。この期間を適切に過ごすことで、失敗のリスクを回避することができます。
マウスピース矯正は、比較的リーズナブルな値段で行える治療方法です。部分矯正の場合は約10〜40万、全体矯正の場合は約60〜100万がひとつの目安になります。
前歯だけマウスピース矯正をすることも、もちろん可能です。全体矯正よりも安い費用で治療することができます。前歯だけの治療をする際、装置は該当部位だけでなく全体に装着します。
当院では、子どものマウスピース矯正も実施しております。大人と同様の装着時間が必要な装置もありますが、「T4k」や「プレオルソ」なら、日中最低1時間〜と就寝中のみの装着で治療が進められます。詳しくは、当院までお問い合わせください。