表側矯正とは、歯の表にブラケットとよばれる矯正装置を取りつけ、そこにワイヤーを通して歯並びを整える治療方法です。表側矯正は、広く世界でも行われている、最も代表的な歯科矯正の治療方法となります。一般的にイメージされる歯科矯正は、この表側矯正が多いです。
表側矯正は、矯正力も比較的高く、ブラケットの位置やワイヤーの形状の調整がきくため、乱れた歯並びだけでなく、出っ歯や受け口など、さまざまな歯並びの問題の改善が期待できる方法となります。

以下にあてはまる方は、表側矯正をおすすめしています。

表側矯正というと、多くの患者さまがご心配になるのが見た目の問題ですが、当院では目立ちにくい透明なクリアブラケットを使用しているため、一般的な表側矯正よりも見た目が目立ちにくくなります。
また、クリアブラケットはプラスチック製のため、価格も安く、金属アレルギーのリスクも軽減することができます。
また、メタルブラケットも取り扱っております。
表側矯正で使用される一般的なワイヤーは金属色が目立つものとなります。目立ちにくいワイヤーでの矯正をご希望の方は、ブラケットの素材に歯と同じ色のセラミックを使用し、審美性にも配慮した矯正装置を選択できますので、お気軽にご相談ください。
表側矯正のメリットをご紹介します。
表側矯正は、世界で幅広く長く行われてきた代表的な矯正方法です。
確かな信頼と実績があるため、安心して治療を受けていただくことができます。
表側矯正はブラケットとワイヤーを用いてしっかりと矯正を行うため、乱れた歯並び、出っ歯や受け口など、さまざまな歯並びや噛み合わせの問題が改善できることが期待できます。
表側矯正は昔からある治療方法ですが、クリアブラケットやセラミックワイヤーなど見た目に影響を与えにくい素材も普及しはじめています。
矯正中の見た目が気になる方には、クリアブラケットやセラミックワイヤーのような目立ちにくい素材をぜひ、おすすめしております。
表側矯正は長い歴史があり、今まで多くの患者さまが治療をしてきた矯正方法であるため、起こりうるトラブルなど治療の予測性も高くなっています。そのため、矯正中に生じるトラブルに対し、適切に対応することが可能です。
表側矯正にかかる費用は、非常にわかりやすく、費用の透明性が高くなっています。
オプションなど追加で費用がかかる際にも、その都度ご説明いたしますので、安心して治療を受けていただけます。
表側矯正では、装置を歯の表面に取り付けるため、装置が舌に当たらずにスムーズに話せます。よって、滑舌が悪くなることもほとんどありません。ただ、装置を取り付けた直後は、痛みや違和感によって口が開きづらくなったり、話しにくくなったりすることがあります。通常は数日間で収まるため、過度に心配しなくて大丈夫です。
裏側矯正と比較すると、歯間や歯と装置の間に挟まった食べかすなどが目視しやすいことも、表側矯正の大きなメリットです。歯科衛生士による指導のもと、正しいブラッシング方法と、矯正歯科専用のデンタルフロスを用いて、日々丁寧にケアしてください。
表側矯正のデメリットには、以下のようなものがあります。
一般的な表側矯正は、目立ちやすいというデメリットがあります。これは表側矯正に使用するブラケットやワイヤーが金属色をしているためです。特に、人前に立つようなお仕事されている方や接客業の方は、矯正が目立つことをご心配されている方も多いかと思います。
当院では、目立ちにくいクリアブラケットやセラミックワイヤーをオプションでご用意しておりますので、矯正の見た目を気にされる患者さまには、ぜひおすすめです。
矯正器具は複雑な形状のため、歯みがきなどが難しいというデメリットもあります。
むし歯を予防するためにも歯みがきは重要であるため、当院では歯科衛生士による丁寧なブラッシング指導も行っております。
表側矯正を行うと、しばしば食事が制限される可能性があります。矯正器具が外れてしまうリスクがあるため、硬い食べ物や粘着性の高い食べ物は避けたほうが良いでしょう。また、繊維の多い食べ物も矯正器具に引っ掛かる可能性があり、注意が必要です。
矯正装置によって痛みや不快感を感じる可能性があることも、表側矯正のデメリットといえます。その都度矯正装置を調整させていただきますが、調整直後は慣れるまで痛みを感じる可能性があります。気になることがありましたら、些細なことでもお気軽にご相談ください。
表側矯正は、歯の表面に矯正装置をつけるため、口もとに厚みが出てしまいます。また、矯正装置が邪魔をして、口がきちんと閉じられなくなるケースもあります。口を閉じないと口内が乾燥し、唾液の分泌量が減って口臭がきつくなってしまいます。日常的に気を付けることが必要です。
矯正装置が唇や頬の内側に擦れて、口内炎ができることがあります。特に上顎前突(出っ歯)の方は、歯が前に出ている状態なので、より口内が傷付きやすいです。少しずつ慣れが出てくると口内炎はできにくくなりますが、痛みがつらいときは、歯科矯正用粘膜保護剤を装置に塗布することで対策をします。
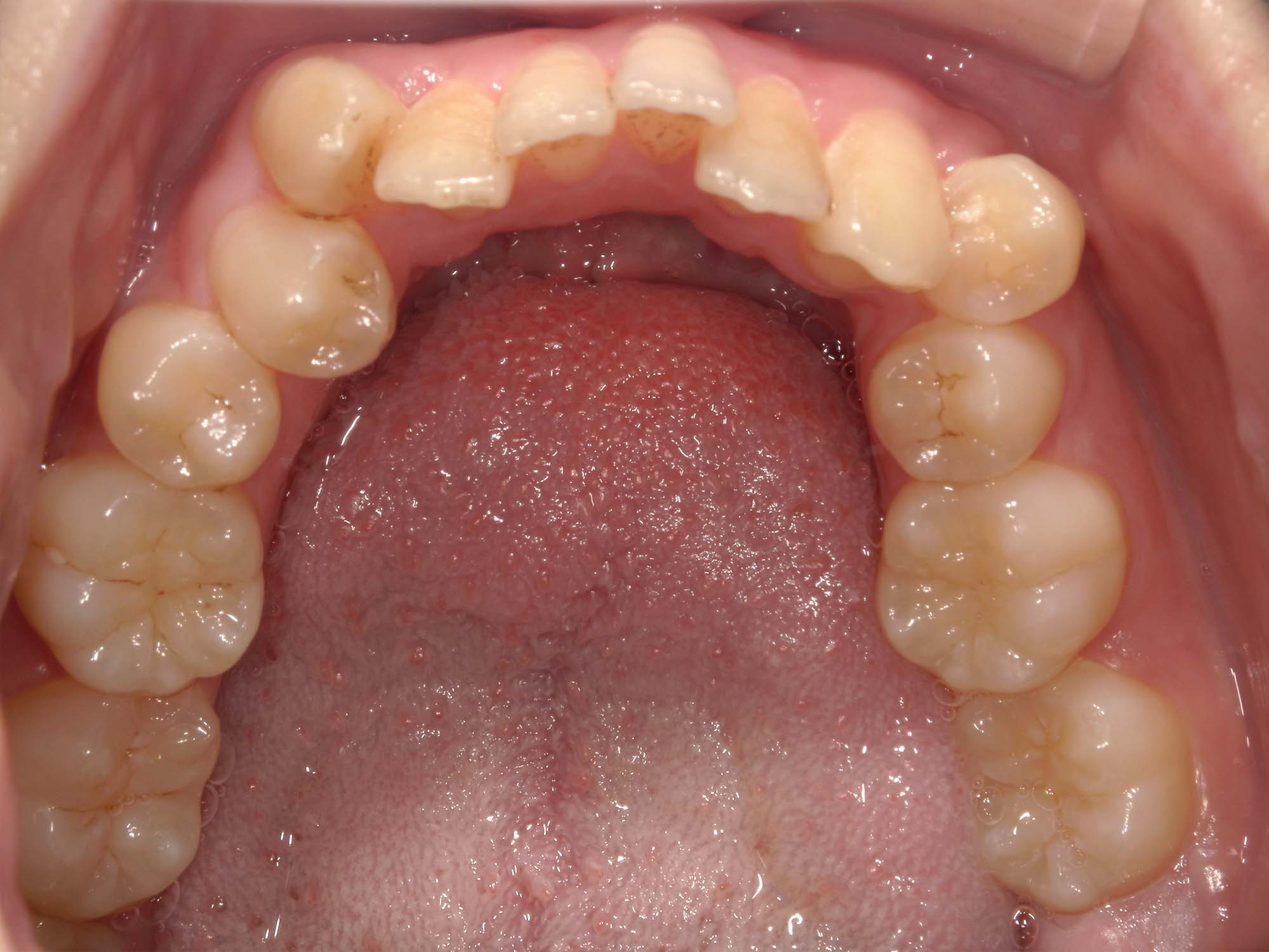
| 矯正方法 | 特徴 | 見た目・審美性 | 治療期間 | 費用の目安(税込) | 適応症例 | メリット | デメリット |
|---|---|---|---|---|---|---|---|
| 表側矯正 | 歯の表面(外側)に装置をつける最も一般的な方法。 | 金属が目立つが、審美ブラケットを選ぶと目立ちにくい | 約1.5〜3年 | 800,000円~1,010,000円(税込880,000円〜1,111,000円) | 軽度〜重度の症例まで対応 | 歯の動きが早く、確実 | 見た目の問題・装置の違和感 |
| 裏側矯正 | 歯の裏側(舌側)に装置をつける方法。見えにくい。 | 外から見えない | 約2〜3年 | 1,300,000円~1,510,000円(税込1,430,000円〜1,661,000円) | 中〜重度の症例にも対応可能 | 周囲に気づかれにくい | 発音がしにくい・費用が高い・清掃しにくい |
| 部分矯正 | 前歯など一部のみを動かす簡易的な矯正。 | 目立ちやすいが範囲が狭い | 約3〜12ヶ月 | 約15〜50万円 | 前歯の軽いデコボコや隙間 | 費用・期間が短い | 全体的な噛み合わせ改善は難しい |
| マウスピース矯正 | 透明のマウスピースを段階的に交換して歯を動かす方法。 | ほとんど目立たない | 約1〜3年 | 800,000円~1,010,000円(税込880,000円〜1,111,000円) | 軽度〜中等度の症例に適応 | 取り外し可能・見た目が自然 | 装着時間の自己管理が必要・複雑な症例には不向き |












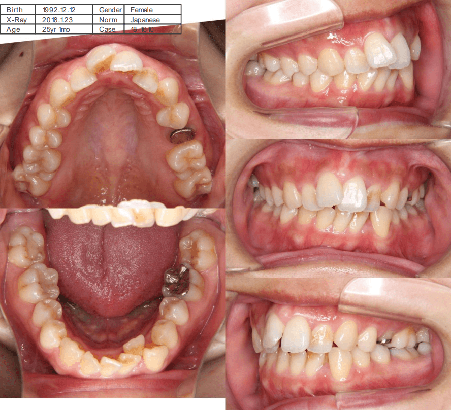
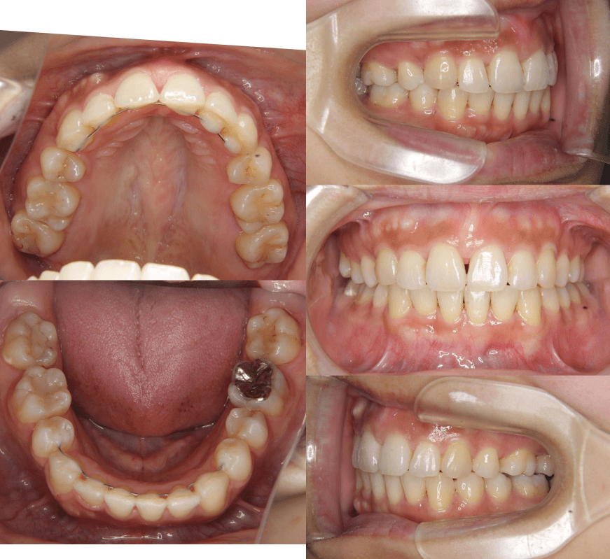
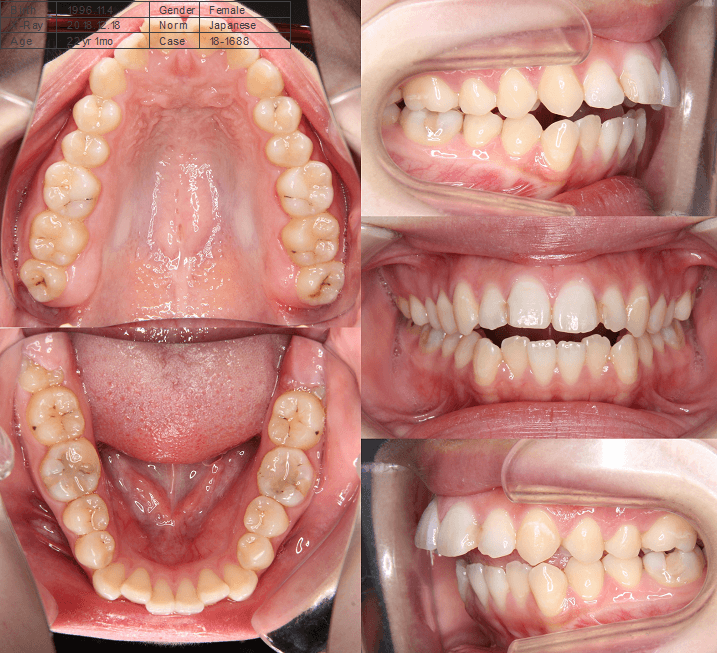
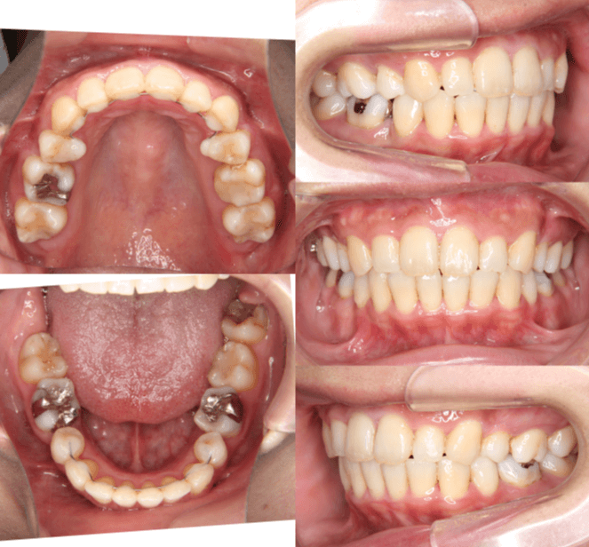
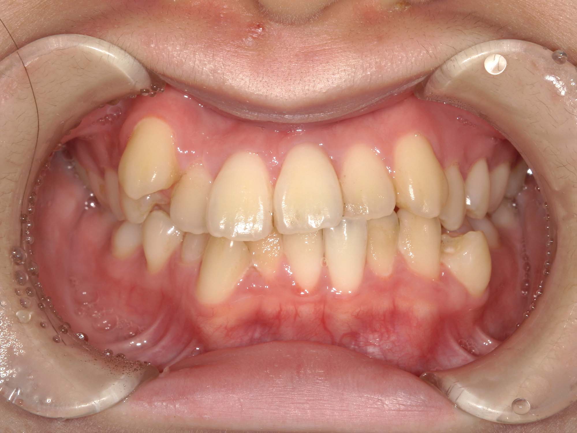
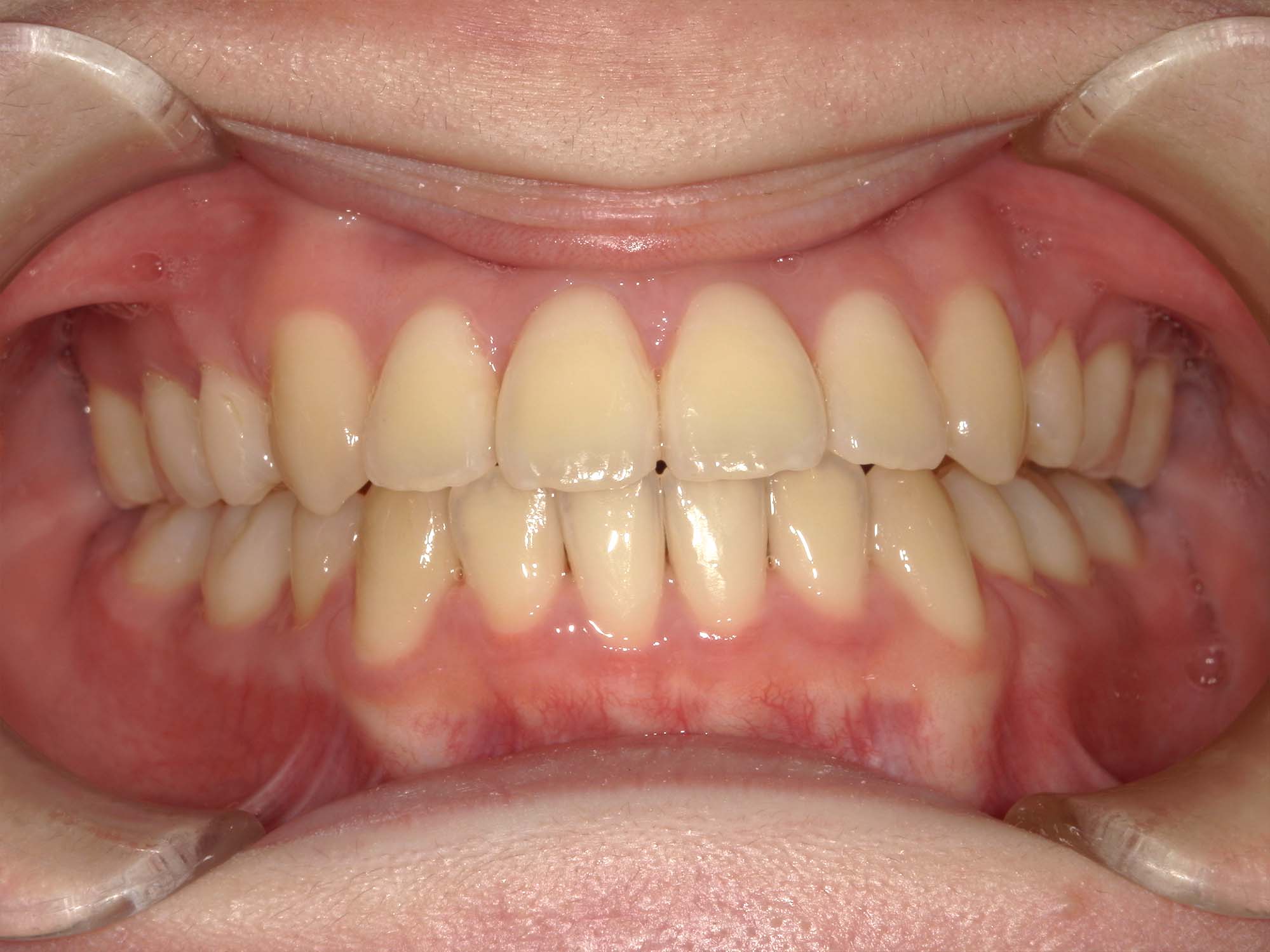
| 年齢・性別 | 25歳女性 |
|---|---|
| 主訴 | 前歯の歯並びの乱れ(叢生)を気にされて来院された25歳女性。咬み合わせや審美的な改善を希望されていました。 |
| 治療期間・回数 | 4年5ヶ月・30回 |
| 費用 | 1100,000円(税別) |








| 年齢・性別 | 15歳の女性 |
|---|---|
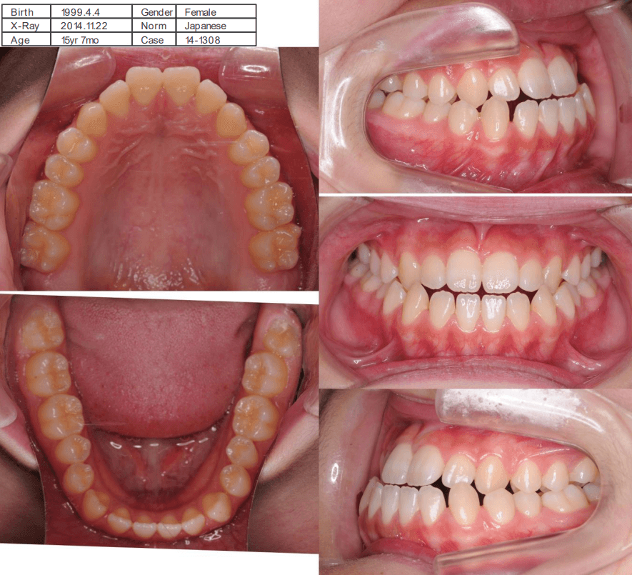
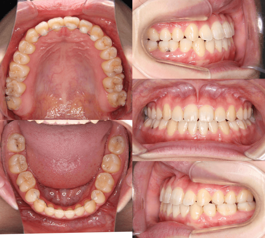
| 主訴 | 咬み合わせが逆であること(反対咬合)を気にされて来院された15歳7か月の女性。見た目や機能面の改善を希望されていました。 |
| 治療期間・回数 | 4年4ヶ月・28回 |
| 費用 | 900,000円 |














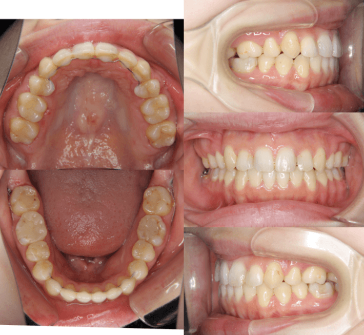
| 年齢・性別 | 22歳女性 |
|---|---|
| 主訴 | 上下顎前歯部に開咬と口元の突出感を気にされて来院された22歳女性。咬み合わせや審美的な改善を希望されていました。 |
| 治療期間・回数 | 3年9ヶ月・32回 |
| 費用 | 930,000円 |








| 年齢・性別 | 25歳の女性 |
|---|---|
| 主訴 | 口元の突出感を気にされて来院された。咬み合わせや審美的な改善を希望されていました。 |
| 治療期間・回数 | 3年6ヶ月・30回 |
| 費用 | 1,000,000円 |










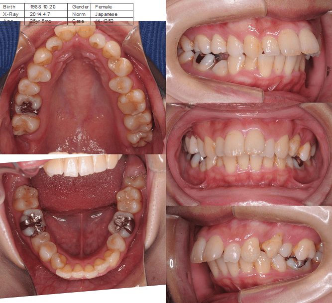
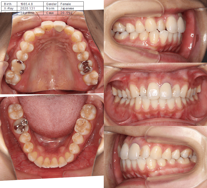
| 年齢・性別 | 34歳の女性 |
|---|---|
| 主訴 | 口元の突出感が気になり、将来的な咬合状態を整える目的で来院された患者様です。 |
| 治療期間・回数 | 3年3ヶ月・31回 |
| 費用 | 830,000円 |








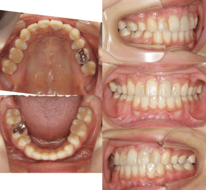
| 年齢・性別 | 30歳女性 |
|---|---|
| 主訴 | 歯並びの乱れ(叢生)を気にされて来院された。咬み合わせや審美的な改善を希望されていました。 |
| 治療期間・回数 | 3年・28回 |
| 費用 | 840,000円 |








| 年齢・性別 | – |
|---|---|
| 主訴 | 歯並び・かみ合わせ・口元の見た目が気になるとの事でご相談があり矯正の治療を行いました。 |
| 治療期間・回数 | 2年 |
| 費用 | 1,001,000円(税別) |

まずは、問診票をご記入いただき、詳しく患者さまのお話をおうかがいいたします。
歯並びに関するお悩み、ご希望の治療方法、治療に対する不安やご相談など、何でもお気軽にご相談ください。お一人おひとりに合わせた適切な治療方法がご提案できるよう、丁寧にカウンセリングいたします。
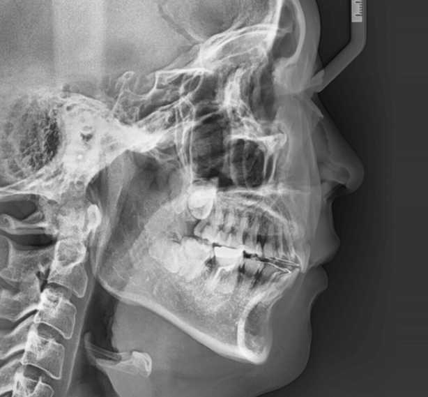
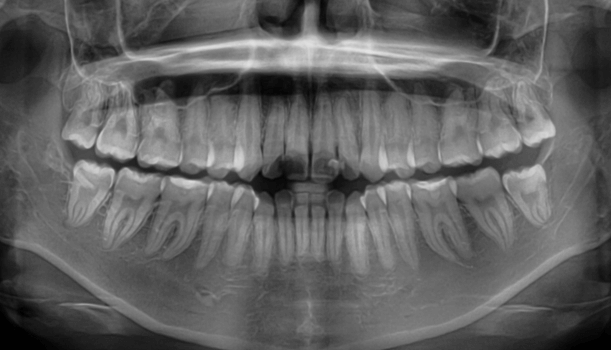
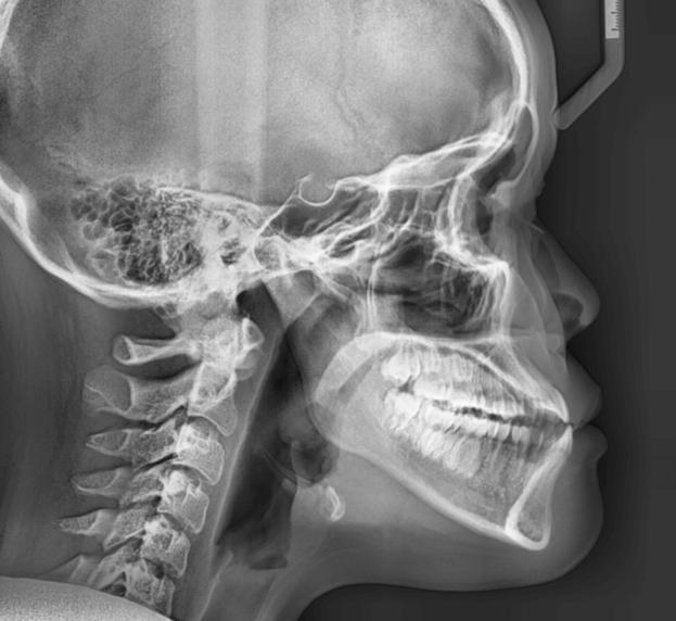
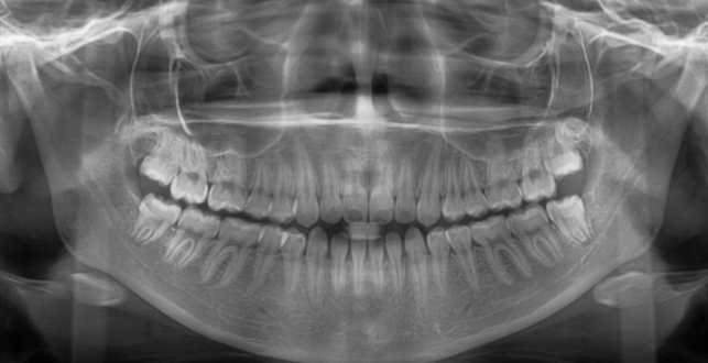
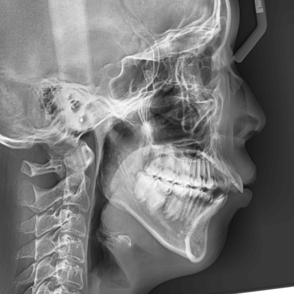
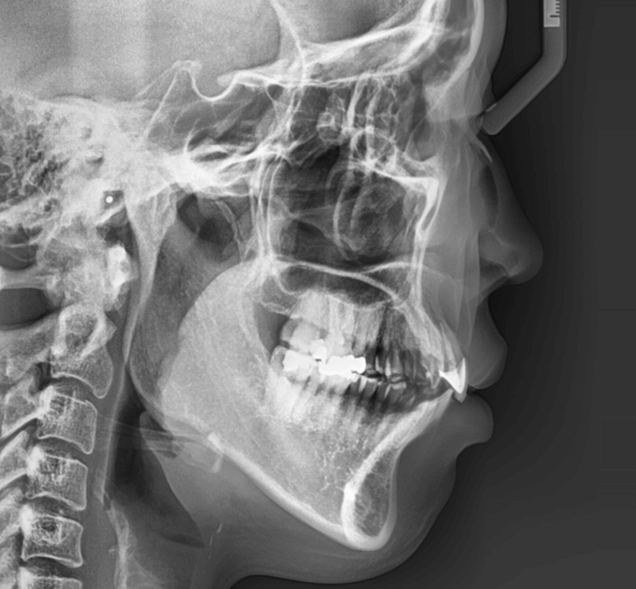
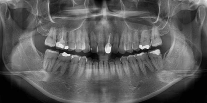
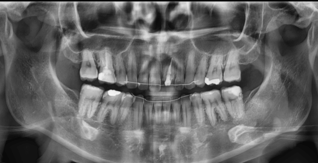
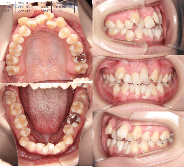
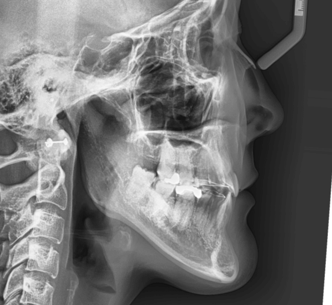
次に、X線撮影、口腔内撮影、お顔の撮影などを実施します。これらは矯正治療を行うのに重要な検査となります。
小児矯正の場合、これらの検査に加え、手根骨とよばれる成長の指標となる骨の撮影を必要に応じて行います。
内容を書類でもお渡しして、患者さまにご承諾いただいてから治療の開始へと移ります。
検査結果をもとに患者さまのお口の状態を確認し、矯正治療の治療計画を提案させていただきます。治療内容や治療期間、費用など丁寧にご説明いたしますので、ご安心ください。
治療計画にご同意いただけましたら、矯正治療内容および費用に関する書類にご署名いただき、治療を開始いたします。
むし歯や歯周病など、治療の必要がある歯がある場合、矯正治療を開始する前にそれらの歯を治療する必要があります。
矯正治療で歯を並べるスペースを確保するために抜歯を行わなければならないことがあります。
矯正装置の装着後は、しばらくの間は痛みや違和感、不快感がある方が多く、口内炎ができてしまうこともあります。
矯正装置に慣れるまでは少々お時間がかかりますが、徐々に装着の痛みや不快感、違和感はなくなっていきます。
装置の装着には、約30分ほどお時間がかかります。
当院では、矯正治療中に起こりうるトラブル(痛みや口内炎など)や、矯正中の歯みがき方法なども丁寧にご説明いたします。患者さまの負担が少なくなるような治療に努めますので、どうぞご安心ください。
矯正治療は、部分矯正で半年〜1年半、表側矯正で1年〜2年半ほどの治療期間になります。
矯正装置の装着後は、矯正装置のメンテナンスのために定期的なご来院が必要です。ご来院の目安は1ヶ月に1度ほどで、ワイヤーの調整や、むし歯など口腔内の確認などを実施します。所要時間は、約30分です。虫歯や歯周病の治療は当院から徒歩1分の本院と連携して行います。
矯正治療に抜歯が必要な場合も、当院では患者さまのご負担が最小限で済むような抜歯を行っています。抜歯が必要な歯を丁寧に判断し、抜歯後は止血の状態や患者さまのご体調の確認をいたします。当院にてしばらく安静にしていただいたのち、問題がないようでしたらお帰りいただけます。
矯正治療は、はじめは細く柔らかいワイヤーから開始し、徐々に太くて硬いワイヤーへと切り替えていきます。抜歯を行った場合などは、抜歯で空いた空間にしっかりと歯が整列するまで数ヶ月かかることが一般的です。
矯正治療の完了後は、整った歯が元の状態に戻ってしまうのを防ぐため、リテーナーとよばれる保定装置を作製し、保定をします。
通常、保定装置は着脱可能なものを使用しますが、患者さまの歯の状態によっては、歯の裏側に装着する固定式の保定装置を使用することもあります。
保定装置を装着する期間は、部分矯正で1年、全体矯正で3年が目安となります。
矯正前に実施した、X線撮影、口腔内撮影、お顔の撮影などの検査を再度実施し、矯正治療の結果をしっかりと評価いたします。
保定期間中も、定期的なご来院が必要です。保定装置のメンテナンスをはじめ、むし歯や歯周病などお口の状態のチェック、クリーニングなどを実施します。
虫歯や歯周病の治療は当院から徒歩1分の本院と連携して行います。
来院頻度は、3ヶ月に1度が目安となります。
仕上がりや治療にかかる期間は、どちらもほぼ同じです。大きな違いは装置の設置位置です。表側矯正は歯の表面に、裏側矯正は歯の裏側に、それぞれブラケットとワイヤーを取り付けます。
この設置位置の違いにより、表側矯正は滑舌に影響が出ないこと、裏側矯正は治療中に装置が目立たないことがそれぞれメリットとして挙げられます。
元々の歯並びや口腔内の状況にもよりますが、一般的に全体矯正だと約60〜130万、部分矯正だと約30〜60万の費用がかかります。
全体矯正の場合だと約1年〜3年、部分矯正の場合だと約2ヶ月〜1年が、治療にかかる期間の目安です。こちらも元々の歯並びや口腔内の状況によって、大きく変わってきます。
装置を取り付けた後は、約1ヶ月に1回通院していただき、ワイヤー調整を行います。
当院では、治療中の審美性に配慮した表側矯正を提供しております。目立ちにくいクリアブラケットのほか、ご希望の方には、歯と同じ色のセラミックを使用したブラケットもご用意しております。患者様にとって最善の選択ができるよう、スタッフ一同全力でサポートいたします。
矯正治療終了後は、歯並びが不安定な状態のため、何もしないと後戻りしてしまいます。後戻りを防ぐために、リテーナーという保定装置を使って、綺麗な歯並びを固定させます。これを保定期間と呼び、全体矯正の場合で約1〜3年の時間を要します。リテーナーはマウスピースに似た装置のため、取り外し可能です。
もちろん可能です。全体矯正に比べて、治療期間も費用も抑えられるのが部分矯正のメリットです。ただ、部分矯正が適応か否かは診察しないと判断しかねるため、一度当院までお越しいただけますと幸いです。
基本的に演奏自体は可能ですが、マウスピースを唇に強く押し当てる楽器を吹く際は、要注意です。特に、矯正終了後の保定期間中は、歯に強い力を与えると後戻りしやすくなってしまいます。吹き方などの工夫をする必要があります。