
歯がキレイに並ぶために必要な顎のスペースが足りないと歯並びが乱れます。とくに現代のお子さんは、歯が大きめな反面、顎が小さくなる傾向にあるため、歯並びが乱れやすいのです。そこで大切なのは成長過程にあるうちに上下の顎の位置や大きさのバランスを整え、顎の広さを確保することです。そうすれば、顎の健やかな成長を促しながら、成人してから歯並びを整える際にも抜歯をしないで済む可能性が高まります。
お子さんの歯並びが気になる方は、お気軽に千葉県柏市明原の矯正歯科医院「柏 なかよし矯正歯科・小児歯科」にご相談ください。
以下のようなお悩みがある方には、小児矯正がおすすめです。
口呼吸になると、喉が乾燥してしまうため風邪を引きやすくなると考えられていますが、小児矯正では口呼吸が改善できるため、風邪を引きにくくなるというメリットも期待できます。また、小児矯正によって歯並びが整うことで、滑舌や発音の改善も期待できます。
当院の小児矯正では、6歳〜12歳頃までに行う一期治療に注力しております。この時期は成長期でもあるため、矯正によって顎の骨格バランスを整えることができます。
これにより、永久歯が生えるスペースを十分に確保できるので、将来的に健康な歯を抜歯せずに、矯正が進められる可能性が上がります。
小児矯正は顎の成長に合わせて歯並びを整えるため、基本的には抜歯をする必要がありません。健康的な歯を抜歯することを回避できる治療方法です。
永久歯が生えそろう前に小児矯正を行うことで、治療期間も短くて済む可能性が高くなります。
早く矯正治療に慣れるためにも、早めに小児矯正を行うことをおすすめしています。
顎の成長段階に合わせて治療を行うため、大人よりも痛みも感じにくく、矯正器具にも早く慣れることができます。
歯並びを早く整えることで、思わぬ事故やけがから歯を守ることができます。出っ歯などをそのままにしていると、事故やけがで歯の折れや欠けなどの破損が起きるリスクも高まります。
見た目のコンプレックスは、心の成長にもよくありません。
早くから小児矯正を行うことで、見た目のコンプレックスをなくし、自分の笑顔など外見に自信が持てるようになります。
小児矯正には、以下のようなデメリットが考えられます。
一期治療は平均1年〜3年ほどの期間がかかりますが、顎の発育や口腔内の状況によっては、より長い治療期間を要することがあります。中でも、下顎は18歳頃まで成長が続くため、成長具合によって大きく治療期間が異なってきます。
混合歯列期(乳歯と永久歯が同時に存在する時期)の治療では、残っている乳歯を抜歯してから矯正治療に入ることがあります。主な対象年齢は7〜9歳頃のお子様です。
小児矯正における費用の相場は、一期治療・二期治療それぞれ約30万〜50万円です。ただ、治療期間が長引いたり、口内の状況によっては、相場よりも高額な治療費がかかることがあります。
矯正器具を破損させず、かつ細菌の繁殖を防ぐために、器具の定期的なメンテナンスは必須作業です。医師の指示のもと、矯正装置専用の洗浄剤を使ったり、歯ブラシでやさしく汚れを落としたりと、ケアを怠らないようにお願いいたします。
「恥ずかしいから」「なんだか痛そうだから…」と、お子様の協力が得にくいケースもあります。当院では、お子様の気持ちを最優先に考えた対応を行っておりますが、ぜひご家庭でも“なぜ矯正をするのか”“矯正をしたらどんな良いことがあるのか”をお伝えいただけると幸いです。
矯正歯科の治療中は、食事制限が生じることがあります。例えば、硬い食べものが器具にあたると外れてしまうことがあるため、奥歯でしっかり噛んで食べるなどの対処が必要です。粘着質のあるものは器具に絡まってしまう恐れがあるので、控えるのが無難です。繊維質の多いものは、器具の間に挟まることが多いため、食後のケアを十分に行ってください。

成長過程にあるお子さんは歯並びが原因で顔貌の変化と顎だけではなく身体の歪みが出たり、歯並びによって成長発育に影響を及ぼすこともあります。成長段階によってその治療方法が異なり、お口の状態に合わせて将来的に歯が並びやすいように導きます。
欧米では歯並びで印象が変わるだけでなく、その人の民度やレベルを量る基準として重要視されています。また、就職の基準でも歯並びを見られることもあるくらい、世界的には歯並びに対する意識や重要性がとても高いのです。
やはり歯並びがいいと第一印象が良くなりますし、日本でも近年この傾向があるので、お子さんの将来のためにもなるべくきれいな歯並びになるよう促してあげることは必要なことですね。

この年齢で反対咬合が心配なときには、就寝時に装着するマウスピースの歯列矯正用咬合誘導装置「ムーシールド」を使用します。反対咬合とは、受け口ともよばれる、下の歯が上の歯よりも前に出ている噛み合わせです。就寝時に装着して、舌やお口まわりの筋肉の状態を整えて、上下の顎を正しい位置に導きます。
反対咬合を普通の咬合に戻す装置ですので、ほかの不正咬合には効果を発揮しませんが、歯を抜いたり、痛みをともなったりしないうえ、舌や口のまわりの筋肉のトレーニングにより効果が出やすい矯正システムです。

この年齢で「出っ歯」とよばれる噛み合わせの中でも、不十分な下顎の成長を促すための取り外し可能なマウスピース型の矯正装置が歯列矯正用咬合誘導装置「バイオネーター」です。上の歯の前歯の中切歯が生えてくる6歳頃からスタートできるシステムで、第2大臼歯が生えてきた頃が使用期限の上限です。下の顎の成長は上の顎の成長よりも遅れてはじまり、全身の骨格が成長するときと重なります。就寝時とご自宅にいる時間を合わせた1日10時間以上の装着で効果を発揮します。学校にいる時は装着の必要がございませんので、ご自宅で親御さんの管理できる範囲で行っていただけます。
お口まわりの筋肉の力で歯を動かすので、治療後の「あと戻り」がほとんどない反面、細部にわたる歯並びの調整はできません。そのため、細部はマルチブラケット装置による仕上げが必要です。

プレオルソもマウスピースのような見た目をした矯正装置で、知らず知らずのうちに口が空いているお子様や口呼吸になっているお子様の習慣の改善に役立ちます。舌や顎の筋肉のトレーニングにもなるため、正常な発育のサポートをしてくれます。基本的には安静時や睡眠時に使用します。

乳歯にはあとから生えてくる永久歯を正しい位置に導くガイドの役割があります。そのため、虫歯やケガによって早期に乳歯を失ったときに使うのが保隙装置です。永久歯の生えるスペースを確保して、永久歯がまっすぐ生えるように導き、歯並びが乱れるのを防ぎます。

歯を舌側から固定する装置です。あとから生えてくる永久歯が正しい位置に並ぶように顎のスペースを確保するために装着します。

失った乳歯の空間を保つために歯にバンドを蒔いてループをつけるのが「バンドループ」で被せ物にループをつけるのが「クラウンループ」です。


| 年齢・性別 | 男性 |
|---|---|
| 主訴 | 歯の隙間が気になる |
| 治療期間・回数 | 14ヶ月 |
| 費用 | 330,000円(税込) |






| 年齢・性別 | 女性 |
|---|---|
| 主訴 | 上の前歯が出ているのが気になる |
| 治療期間・回数 | 1年間 |
| 費用 | 330,000円(税込) |




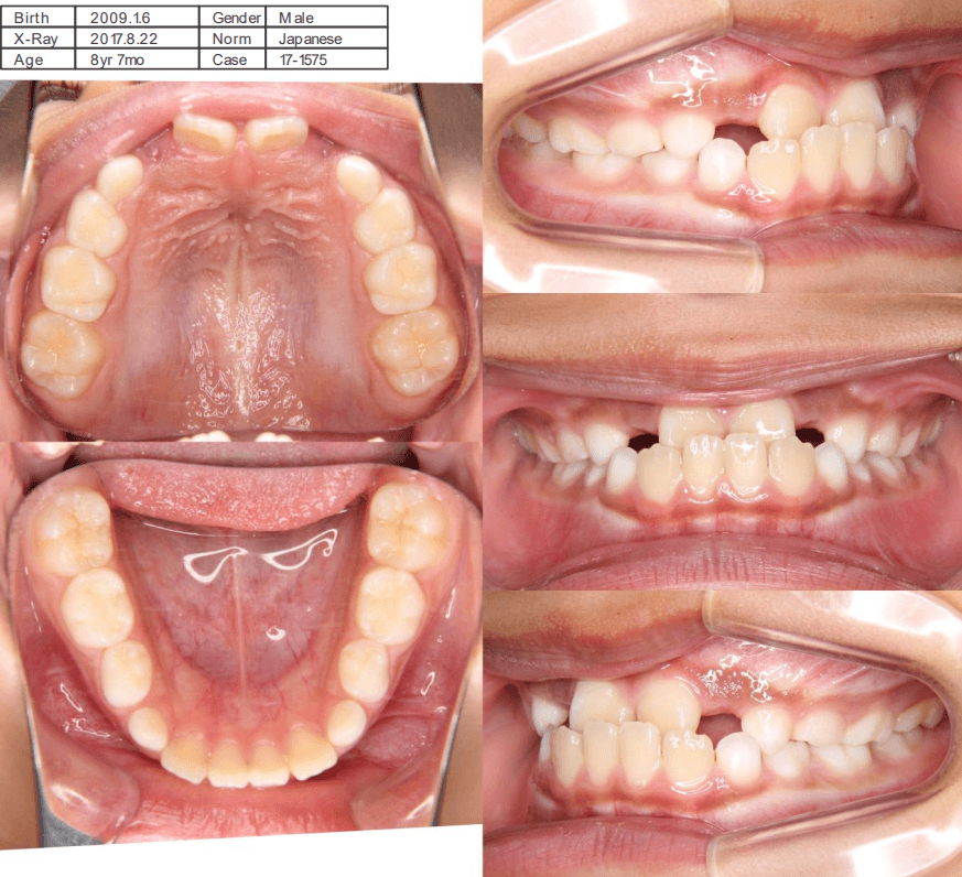
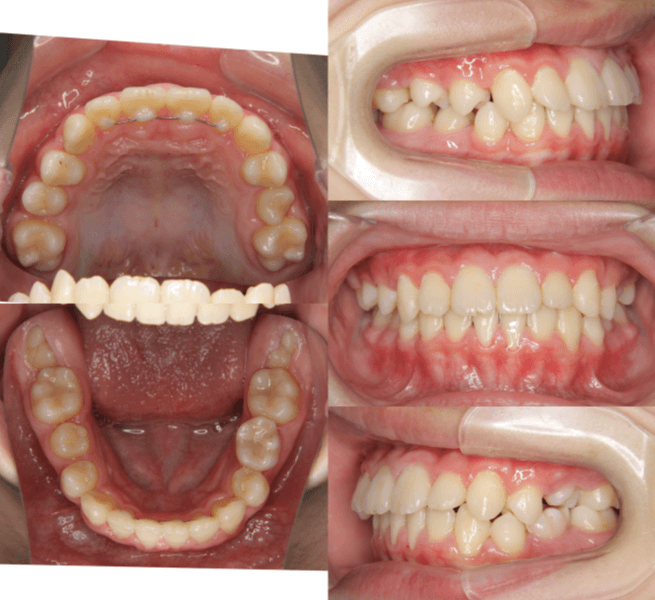
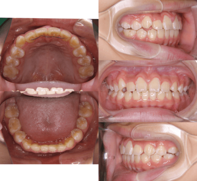
| 年齢・性別 | 8歳7ヶ月の男児 |
|---|---|
| 主訴 | 前歯がうまく噛み合わず、食事時に違和感があるとのことで来院されました。保護者様からは、将来的な歯並びの不安についてもご相談がありました。 |
| 治療期間・回数 | 1年3ヶ月・11回 |
| 費用 | 400,000円(税別) |




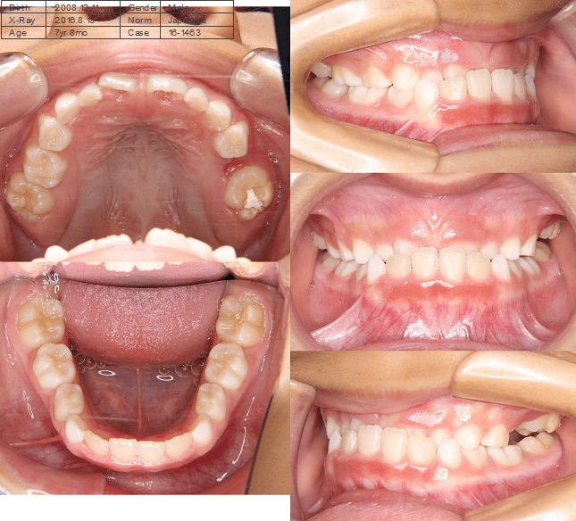
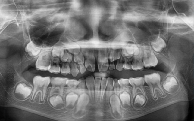
| 年齢・性別 | 7歳8ヶ月の男児 |
|---|---|
| 主訴 | 前歯の噛み合わせが逆で、見た目や食事に違和感があることを心配されて来院されました。 |
| 治療期間・回数 | 3年6ヶ月 |
| 費用 | 430,000円(税別) |




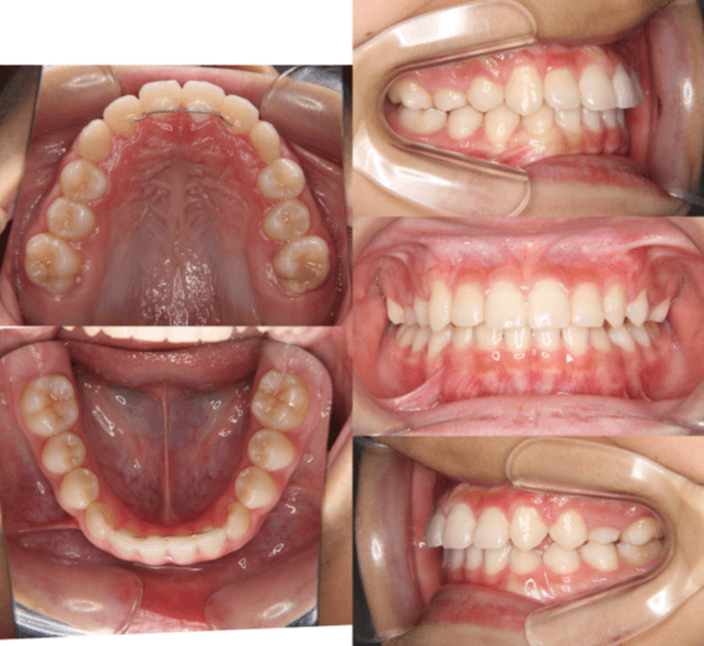
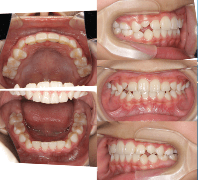
| 年齢・性別 | 6歳6ヶ月の女児 |
|---|---|
| 主訴 | 前歯がしっかり噛み合わず、食事時に違和感を覚えて来院された患者様です。 |
| 治療期間・回数 | 1年11ヶ月・18回 |
| 費用 | 400,000円(税別) |










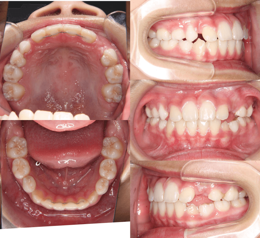
| 年齢・性別 | 8歳9ヶ月の男児 |
|---|---|
| 主訴 | 前歯の咬み合わせが逆になっており、歯根や歯肉への影響を懸念されて来院された患者様です。 |
| 治療期間・回数 | 3年7ヶ月・20回 |
| 費用 | 460,000円(税別) |










| 年齢・性別 | 7歳1ヶ月の男児 |
|---|---|
| 主訴 | 歯の生えるスペース不足が懸念され、歯列の乱れ(叢生)を整えるために来院された患者様です。 |
| 治療期間・回数 | 1年3ヶ月・11回 |
| 費用 | 420,000円(税別) |










| 年齢・性別 | 8歳9ヶ月の女児 |
|---|---|
| 主訴 | 歯並びの乱れを気にされて来院された患者様です。将来的なスペース不足と歯のねじれ(翼状捻転)が懸念されました。 |
| 治療期間・回数 | 2年10ヶ月・19回 |
| 費用 | 430,000円(税別) |






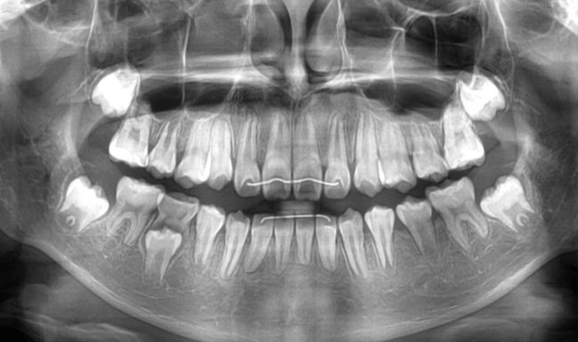
| 年齢・性別 | 8歳11ヶ月の男児 |
|---|---|
| 主訴 | 上顎の永久歯の位置がおかしいとのことで来院。萌出していない右上の前歯の状態に不安を抱えられていました。 |
| 治療期間・回数 | 約3年2ヶ月 |
| 費用 | 440,000円(税別) |












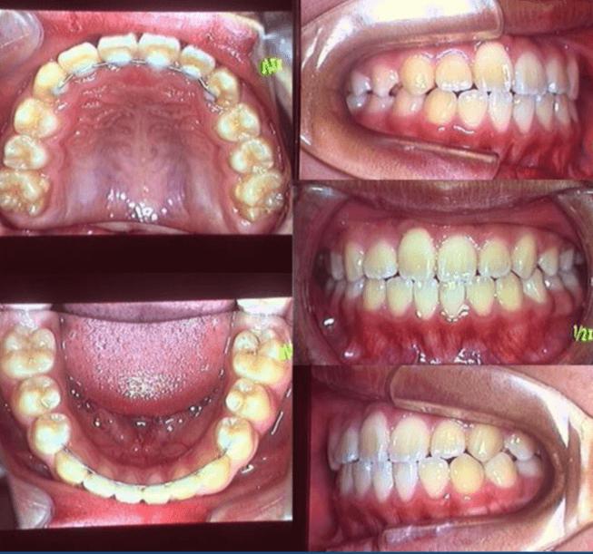
| 年齢・性別 | 8歳3ヶ月の男児 |
|---|---|
| 主訴 | 上顎前歯の位置異常に不安を抱え、歯並びと将来的な咬合状態を整える目的で来院された患者様です。 特に左側の前歯(中切歯および側切歯)の萌出が確認できないことがきっかけとなりました。 |
| 治療期間・回数 | 約5年10ヶ月 |
| 費用 | 460,000円(税別) |














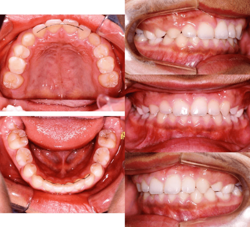
| 年齢・性別 | 11歳1ヶ月の女性 |
|---|---|
| 主訴 | 口元の突出感と歯並びが気になり、将来的な咬合状態を整える目的で来院された患者様です。 |
| 治療期間・回数 | 2年6ヶ月・25回 |
| 費用 | 720,000円 |








| 年齢・性別 | – |
|---|---|
| 主訴 | 上の前歯が気になる |
| 治療期間・回数 | 1年 |
| 費用 | 330,000円(税込) |








| 年齢・性別 | – |
|---|---|
| 主訴 | 出っ歯が気になる |
| 治療期間・回数 | 1年11ヶ月 |
| 費用 | 330,000円(税込) |








| 年齢・性別 | 11歳 |
|---|---|
| 主訴 | 出っ歯が気になる |
| 治療期間・回数 | 2年 |
| 費用 | 330,000円(税込) |








| 年齢・性別 | 11歳 |
|---|---|
| 主訴 | 出っ歯が気になる |
| 治療期間・回数 | 2年 |
| 費用 | 330,000円(税込) |
まずは、ご予約をお取りください。
無料カウンセリングにて、お子さまの歯並びのお悩みやご不安なことなど、些細なことでもお気軽にご相談ください。小児矯正の治療内容や期間、費用などをご説明いたします。
レントゲン撮影や口腔内写真撮影、お顔の写真撮影などの検査を実施します。また、口腔診査によりお子さまの歯並びやお口の状態なども確認させていただきます。
検査や診査の結果にもとづき、お子さまの状況に応じた適切な治療をご提案させていただきます。また、この際に詳細な治療手順や内容、治療期間、費用なども説明いたします。
治療計画にご同意いただけましたら、治療を開始します。検査で治療の必要がある歯が見つかった場合は、先にそれらの歯の治療を優先しなければなりませんので、ご了承ください。
虫歯や歯周病の治療は当院から徒歩1分の本院と連携して行います。
小児矯正では、1〜2ヶ月に1度のご来院が必要となります。
歯の移動が完了したら、整った歯並びが元の状態に戻るのを防ぐため、保定とよばれる期間が必要になります。保定期間が終われば治療完了となりますが、永久歯が生えそろった時期に再び矯正治療が必要となる場合もあります。
A
何歳から矯正治療をスタートすればいいのかは、歯の状態によって異なります。顎の成長なども考慮して、早ければ3~6歳には開始します。どのタイミングに開始すればよいかを見極めるためにも気になる方は、お早めにご相談ください。
A
乳歯にはあとから生えてくる永久歯を正しい場所に導く役割があります。スペースを確保しないと永久歯がスムーズに生えてこないので、歯並びが乱れてしまう可能性が高まります。また成長過程にあれば、上下の顎のバランスを整えながら、必要なスペースの確保も可能です。そのため乳歯が生えている頃からの矯正治療が必要な場合があるのです。
A
小児矯正は大きく2期に分けられます。1期は乳歯と永久歯が生え替わる時期の「混合歯列期」で、2期は永久歯が生えそろった「永久歯列期」です。治療の開始時期やお口の状態によって治療期間は異なりますが、1期はだいたい1~3年、2期はだいたい1~2年です。
A
矯正治療では、歯が並ぶ顎のスペースを拡げるので、実際に顎を拡げるわけではありません。顎の成長不足を補って本来のすがたに導くための装置を使うので、お顔が大きくなることはありませんのでご安心ください。
A
痛みの感覚には個人差があります。そのため、装置を装着したときや噛んだとき、装置を調整したときに、まったく痛みを感じない方もいらっしゃいます。当日や翌日に違和感や痛みがあっても、3日くらいかけてだんだんと緩和していくことがほとんどです。痛くて矯正治療をやめる子はこれまでいませんでしたので、たとえ痛くてもがまんできる程度だといえます。